Một nghiên cứu mới được đăng trên Archives of Pathology & Laboratory Medicine cho thấy Covid-19 có thể xâm nhập và hủy hoại nhau thai, dẫn tới lưu thai ở những phụ nữ mắc Covid-19.
Đây là biến chứng hiếm gặp, song có thể khẳng định rằng phụ nữ mắc Covid-19 phải đối mặt với nguy cơ cao từ virus SARS-CoV-2. Giới chức y tế nhấn mạnh rằng tiêm phòng có thể giúp ngăn chặn những ca như vậy ở phụ nữ đang mang thai.
Các nhà nghiên cứu từ 12 quốc gia đã phân tích nhau thai và tế bào tử thi của 64 thai lưu và 4 trẻ sơ sinh đã tử vong ngay sau khi sinh. Tất cả các trường hợp này đều liên quan đến phụ nữ chưa tiêm vắc xin ngừa Covid-19 hoặc đã mắc Covid-19 trong thời gian mang thai.

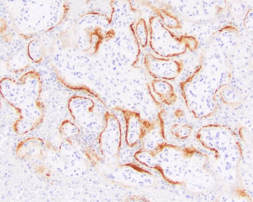
Hình ảnh kính hiển vi này cho thấy, các tế bào nhau thai từ một thai chết lưu, có nhiễm trùng SARS-CoV-2 được biểu thị bằng các vết sẫm màu hơn.
Tiến sĩ Jeffery Goldstein, một nhà nghiên cứu bệnh học tại Trường Y Feinberg thuộc Đại học Northwestern (Mỹ), cho biết nghiên cứu đã cung cấp thêm bằng chứng về biến chứng hiếm gặp này, đồng thời xác nhận rằng việc nhau thai bị hỏng, chứ không phải bào thai nhiễm virus, chính là nguyên nhân gây ra nhiều ca lưu thai có liên quan đến Covid-19. Ông Goldstein không tham gia nghiên cứu trên.
Theo nghiên cứu trước đó, nguy cơ thai chết lưu - tức là bào thai chết trong vòng 20 tuần tuổi, cao hơn bình thường đối với phụ nữ mang thai mắc Covid-19, đặc biệt những người nhiễm biến thể Delta.
Tiến sĩ David Schwartz, tác giả chính của nghiên cứu trên, cho biết trong nhiều bệnh lây nhiễm khác, virus có thể xâm nhập bào thai và gây lưu thai, nhất là khiến thai bị nhiễm và phá hỏng thai.
Một ví dụ là virus Zika. Tiến sĩ Schwartz và các cộng sự đã muốn tìm hiểu xem đó có phải là lý do gây lưu thai ở phụ nữ mắc Covid-19 hay không. Họ đã phát hiện điều ngược lại: Nhau thai mới bị nhiễm và bị phá hủy. Tiến sĩ Schwartz cho biết: "Trong nhiều ca, nhau thai đã bị phá hủy tới 90%".
Tế bào nhau thai bình thường nói chung khỏe mạnh, có màu đỏ hung và xốp như bọt biển. Nhưng các mẫu nhau thai được nghiên cứu có màu tối của tế bào chết và cứng hơn.
Ông Schwartz cho biết thêm rằng, không có trường hợp nhiễm bệnh khác khiến nhau thai bị hỏng. Đây là trường hợp đầu tiên ông quan sát thấy tình trạng nhau thai bị hư hại khi người mẹ nhiễm bệnh.
Nhau thai gắn với tử cung của người mẹ, kết nối với dây rốn, cung cấp ô xy và nuôi dưỡng thai nhi thông qua các mạch máu của mẹ. Virus thường đến nhau thai theo mạch máu, tấn công các tế bào, gây viêm và ngăn lưu thông máu và khí ô xy, từ đó khiến bào thai nghẹt thở và chết.
Virus SARS-CoV-2 được phát hiện trong một số bào thai nhưng các bằng chứng cho thấy tình trạng nghẹt thở trong tử cung do nhau thai hỏng nhiều khả năng dẫn tới thai chết lưu.