Bệnh viện Bạch Mai thông tin về ca bệnh hy hữu đại tràng, dạ dày "chui" lên ngực do bị vỡ cơ hoành tưởng nhầm hậu Covid-19.
Nam bệnh nhân Đ.A.H. (25 tuổi) tiền sử khỏe mạnh. Hơn 1 năm trước, bệnh nhân bị tai nạn giao thông xe máy tự ngã, bị đập ngực trái xuống đường. Sau tai nạn, bệnh nhân thấy đau tức ngực nhẹ, không khó thở nên không đi khám.
Trong thời gian tiếp theo, bệnh nhân thấy cơ thể bình thường khi sinh hoạt lao động nhẹ, chỉ xuất hiện khó thở khi khuân vác các vật nặng. Điều này chưa khiến bệnh nhân cảm thấy bất thường mà chỉ nghĩ đơn giản là do làm việc quá sức.
Khoảng 5 tháng trước, bệnh nhân bị mắc Covid-19 và tự điều trị tại nhà. Tuy nhiên, sau khi khỏi bệnh, các triệu chứng ho và đau tức ngực vẫn tồn tại và có dấu hiệu nặng lên. Nghĩ mình bị hậu Covid-19 nên bệnh nhân vẫn tự điều trị tại nhà.
Tuy nhiên, 1 tháng trở lại đây, bệnh nhân thấy đau tức ngực kèm ho và khó thở tăng lên. Đoán rằng mình đang có vấn đề về đường hô hấp sau khi mắc Covid-19 nên bệnh nhân đã đi khám chuyên khoa hô hấp tại Bệnh viện Bạch Mai.
Tại đây, bệnh nhân đã được chỉ định chụp X-quang ngực và phát hiện có hình bóng hơi của ruột ở trên ngực trái. Bệnh nhân được hoàn thiện thêm các xét nghiệm cận lâm sàng và hội chẩn thêm các chuyên khoa, chụp cắt lớp khẳng định có thoát vị tạng bụng qua cơ hoành lên ngực trái.
Sau đó, bệnh nhân được chuyển tới Khoa Phẫu thuật Tiêu hóa - Gan mật tụy để tiến hành phẫu thuật.
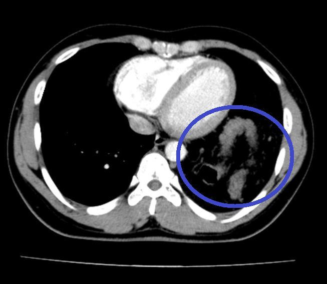
![]() |
| Hình ảnh chụp cắt lớp vi tính phát hiện đại tràng chui lên ngực trái bệnh nhân. Ảnh: BV. |
Bệnh nhân được chỉ định mổ nội soi để sửa tổn thương và phục hồi cơ hoành. Sau khi đưa các tạng trên trở lại ổ bụng, tổn thương cơ hoành bên trái lộ rõ là một lỗ khuyết rộng khoảng 6x8cm. Đây chính là nguyên nhân gây ra thoát vị, kết hợp với tiền sử có chấn thương, chẩn đoán trong mổ là thoát vị hoành trái do vỡ cơ hoành.
Cơ hoành vỡ đã được các phẫu thuật viên khâu phục hồi kín, ca mổ diễn ra trong 1 giờ 30 phút. Sau mổ, bệnh nhân ổn định, hết đau ngực, khó thở, chụp phim X-quang kiểm tra thấy phổi nở tốt, không còn hình ảnh thoát vị.
Theo các bác sĩ, thoát vị hoành do chấn thương là tình trạng một hoặc nhiều tạng nằm trong ổ bụng bị kéo lên ngực thông qua vết rách cơ hoành. Những trường hợp này chiếm khoảng 8% các trường hợp chấn thương nặng và phổ biến nhất ở nam thanh niên trong các vụ tai nạn giao thông. Tỷ lệ chấn thương cơ hoành bên trái là 68%, bên phải là 24%.
Các triệu chứng trong thoát vị hoành do chấn thương có biểu hiện đa dạng. Khó thở là triệu chứng hay gặp nhất nhưng cũng rất mơ hồ. Khó thở có thể xuất hiện từng cơn, không rõ hoàn cảnh khởi phát và tự thuyên giảm hoặc có khi liên quan đến bữa ăn, khi nằm. Đây là triệu chứng hay gặp trong các trường hợp nhẹ, tiến triển từ từ. Đối với trường hợp chấn thương cơ hoành nặng, lỗ thoát vị lớn có thể gây khó thở dữ dội, thậm chí tử vong.
Ngoài ra, bệnh nhân có thể có rối loạn tiêu hóa kiểu cơ năng như chán ăn, ăn ít, dễ buồn nôn, cảm giác đầy bụng. Trường hợp đau dữ dội, trụy mạch phải nghĩ đến thoát vị hoành nghẹt, do tạng chui qua lỗ vỡ cơ hoành bị chỗ này thắt nghẹt lại gây thiếu máu nuôi tạng, nếu không phát hiện và xử trí cấp cứu kịp thời có thể dẫn đến hoại tử tạng, nhiễm trùng, nhiễm độc, suy hô hấp và tử vong.
