Nhiễm sán dây toàn cơ thể vì ăn sashimi

Sau khi ăn quá nhiều sashimi, một người đàn ông Trung Quốc đã phải nhập viện với biểu hiện ngứa da và đau dạ dày.

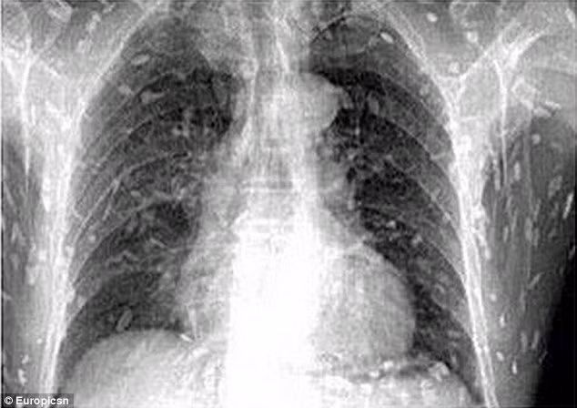
Phim chụp X-quang cho thấy sán dây làm tổ trong khắp cơ thể người đàn ông.
Phim chụp X-quang cho thấy sán dây làm tổ trong khắp cơ thể người đàn ông.

Kết quả chụp X-quang khiến anh chàng kinh hoàng thấy toàn bộ cơ thể mình bị nhiễm sán dây sau khi ăn quá nhiều sashimi – món cá sống cắt lát.

Các bác sĩ cho rằng, một số món ăn từ Nhật Bản chưa được nấu chín kỹ như thịt sống hoặc cá đều bị nhiễm ký sinh trùng. Người đàn ông này sau đó đã được điều trị tại Bệnh viện nhân dân số 8 Quảng Châu, ở tỉnh Quảng Đông, miền Đông Trung Quốc.

Những trường hợp lây nhiễm sán dây đang tăng lên ở những nước đang phát triển do điều kiện vệ sinh kém hơn các nước phát triển. Theo một bài báo đăng trên tạp chí Canadian Family Physician, các bác sĩ đã nói rằng điều này rất có thể là do sự phổ biến “văn hóa ăn sushi”.

Một số nghiên cứu đã chỉ ra rằng, ăn cá sống hoặc chưa nấu chín có thể dẫn đến xuất hiện một loạt các ký sinh trùng. Nhiễm sán dây xảy ra sau khi ăn phải ấu trùng diphyllobothrium, được tìm thấy trong các loại cá nước ngọt như cá hồi, mặc dù cá đã được ướp và hun khói, vẫn có thể truyền nhiễm loại sán này.

Nancy Craig - Tác giả nghiên cứu vấn đề này - viết rằng: Sự phổ biến rộng rãi của sushi và sashimi (lát cá sống) ở Nhật Bản đã đóng góp vào sự gia tăng các trường hợp bị nhiễm sán. 

Tuy vậy, những món ăn được ưa chuộng khác cũng có thể gây ra nguy hiểm tương tự, chẳng hạn như muối thô hoặc philê ướp - có nguồn gốc từ vùng Baltic và các nước Bắc Âu – Carpaccio; cá thái lát ở Ý; cá hồi sống và món ceviche- một món cá sống được sơ chế.

Tuy nhiên, bác sĩ Yin ở bệnh viên Nhân dân Quảng Châu số 8 nói trên trang web smags.com rằng ăn thức ăn chưa nấu chín kỹ sẽ nhiễm trứng sán dây, khi giun trưởng thành đi vào dòng máu của con người, có thể gây ra bệnh giun sán. Đây là loại nhiễm trùng có thể gây tử vong khi giun sán phát triển lên đến não.

Theo doisongphapluat.com

Tin tiêu điểm

Đừng bỏ lỡ