Điều này trước hết là gây đau đớn cho người bệnh, kéo dài thời gian điều trị, chi phí tốn kém và rất khó khăn cho quá trình điều trị của bác sĩ.
Ngày 12/7, Khoa Chấn thương - Chỉnh hình và Bỏng, Bệnh viện Việt Nam - Thụy Điển Uông Bí (Quảng Ninh) tiếp nhận cùng lúc 2 bệnh nhân nhập viện do gãy chân nhưng đều trong tình trạng nhiễm trùng do trước đó có tự điều trị bằng cách đắp thuốc nam.
Cả 2 bệnh nhân đều bị tổn thương gãy chân do tai nạn giao thông. Sau khi vào các các cơ sở y tế kiểm tra đều phát hiện gãy xương và được chỉ định nhập viện để điều trị. Tuy nhiên, cả 2 đều xin về để tự điều trị tại nhà bằng cách đắp lá.
![]() |
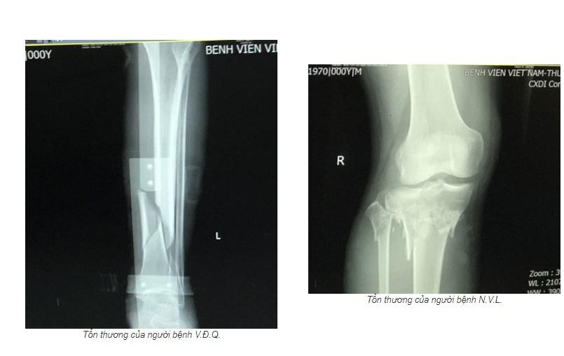
Sau khi đắp lá 2 - 3 ngày, các bệnh nhân thấy chân có biểu hiện sưng nề, đau nhiều, chảy dịch mới đến viện để kiểm tra. Trong đó, bệnh nhân N.V.L. (52 tuổi, trú tại Liên vị, Quảng Yên, Quảng Ninh) gãy phức tạp đầu trên 2 xương cẳng chân; bệnh nhân V.Đ.Q. (65 tuổi, trú tại Minh Tân, Thủy Nguyên, Hải Phòng) có tổn thương gãy di lệch 1/3 dưới 2 xương cẳng chân trái.
Theo BSCKII. Hoàng Văn Dũng, với tổn thương của bệnh nhân L., đây là chấn thương phức tạp, có nhiều biến chứng nguy hiểm như hội chứng chèn ép khoang, rối loạn dinh dưỡng Sudeck… Nguy cơ phải cắt bỏ chi cao nếu không được theo dõi và điều trị kịp thời.
![]() |
| Hiện người bệnh đang được theo dõi, điều trị tại Bệnh viện. Ảnh: BV. |
Với những tổn thương này, bắt buộc phải tiến hành phẫu thuật để điều trị. Tuy nhiên, do vấn đề nhiễm trùng phần mềm chưa được kiểm soát. Vì vậy, bệnh nhân chưa thể tiến hành phẫu thuật mà bắt buộc phải điều trị nội khoa.
Hiện tại, bệnh nhân đang được theo dõi, điều trị tại bệnh viện.
Qua đây, các bác sĩ khuyến cáo: Người dân khi gặp các chấn thương liên quan đến gãy xương hãy đến Bệnh viện để được các bác sĩ tư vấn điều trị. Tuyệt đối không tự điều trị tại nhà bằng bất cứ phương pháp dân gian nào để tránh những biến chứng có thể xảy ra.

