Khoa Cấp cứu, Bệnh viện Đa khoa Thanh Vũ Medic Bạc Liêu tiếp nhận nữ bệnh nhân T.T.S.B (56 tuổi) ở thị xã Vĩnh Châu (tỉnh Sóc Trăng) từ ngày 16/3, nhập viện với tình trạng vàng da, đau bụng nhiều ở vùng hạ sườn phải.
Bệnh nhân đã bị đau bụng khoảng 1 tuần, sau đó phát hiện da bị vàng nên đã được người nhà đưa đến Bệnh viện Đa khoa Thanh Vũ Bạc Liêu để điều trị.
Qua thăm khám sàng lọc kỹ lưỡng và thực hiện các cận lâm sàng cần thiết, các bác sĩ chuyên khoa chẩn đoán bệnh nhân bị tắc mật ngoài gan do khối u đường mật rốn gan (U Klaskin) ác tính - một loại ung thư đường mật vùng rốn gan hiếm gặp, không thể phẫu thuật triệt căn.
Sau hội chẩn liên chuyên khoa, đến 21 giờ 30 cùng ngày, bác sĩ đã tiến hành can thiệp đặt Stent dẫn lưu đường mật nhằm tái lưu thông đường mật cho bệnh nhân trở lại bình thường; thủ thuật diễn ra trong 60 phút.
 
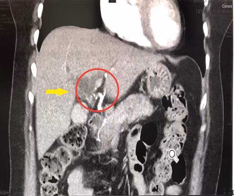
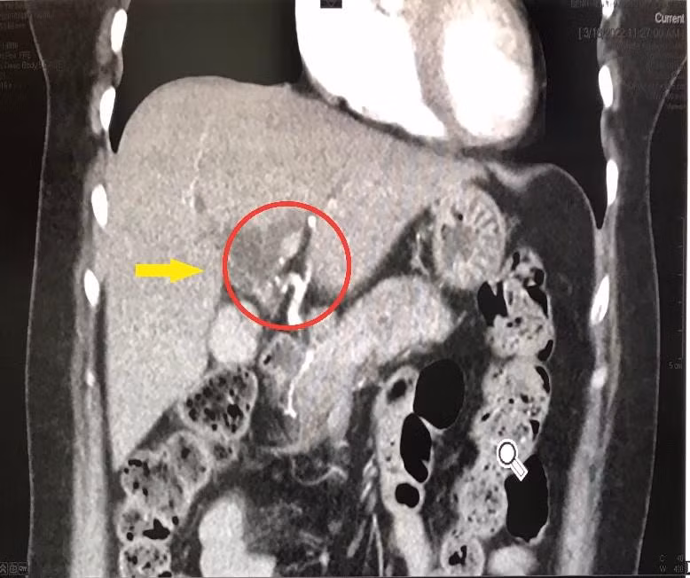
 Hình chụp CT cắt lớp vi tính 3D phát hiện khối U đường mật rốn gan ác tính. Ảnh: BV.
Theo bác sĩ Chuyên khoa 1 Dương Hải Minh, Trưởng Khoa ngoại Lồng ngực - Mạch máu và Tổng quát, đây là một trường hợp ca bệnh nặng, hiếm gặp, bệnh chiếm tỉ lệ khoảng 2% ung thư đường tiêu hóa. Nếu không phát hiện sớm, can thiệp kịp thời, bệnh sẽ tiến triển nặng dẫn đến tắc mật hoàn toàn, suy gan cấp, nhiễm trùng, nhiễm độc nặng, gây nguy hiểm đến tính mạng người bệnh, dẫn đến tử vong.
Thủ thuật nội soi mật tụy ngược dòng (ERCP) dẫn lưu đường mật để điều trị ung thư đường mật vùng rốn gan là một trong những thủ thuật khó, chuyên sâu, vì khi u đường mật xâm lấn nhiều sẽ gây hẹp ống mật, dễ gây tai biến trong lúc can thiệp.
Hiện tại, bệnh nhân tỉnh, sinh hiệu ổn, đường mật đã được lưu thông, đang được chăm sóc phục hồi tích cực. Dự kiến, người bệnh sẽ được xuất viện trong vài ngày tới.
 
 Theo khuyến cáo từ bác sĩ, ung thư đường mật là bệnh lý ác tính của hệ thống đường mật, có thể phát sinh từ đường mật trong gan hay ngoài gan. Căn bệnh này ở giai đoạn đầu gần như không có biểu hiện lâm sàng đặc trưng.
Khi xuất hiện những triệu chứng như vàng da, đau kéo dài ở vùng bụng thì bệnh đã ở giai đoạn muộn. Đa số bệnh nhân chỉ sống sót được 6 tháng. Vì vậy, người dân cần phải kiểm tra khám sức khỏe định kỳ 6 tháng/1 lần để tầm soát phát hiện sớm và điều trị kịp thời, tránh gây nguy hiểm đến tính mạng.
 
  
  
   
   
   
   
   
   
   
   
   
   
   
   
   
   
   
   
   
   
   
   
   
   
   
   
   
   
   
   
   
   
   
   
   
  