Xuất hiện những dấu hiệu này, bạn đang bị stress nghiêm trọng

Trên trang Dailymail đưa tin, chuyên gia dinh dưỡng Charlotte Watts đã chỉ ra một số dấu hiệu cảnh báo stress mà nhiều người thường chủ quan bỏ qua và kèm theo đó là cách khắc phục bằng những chế độ ăn giàu dinh dưỡng.

Xuất hiện những dấu hiệu này, bạn đang bị stress nghiêm trọng

Khi bị stress, cơ thể bạn sẽ mất nhiều năng lượng hơn và các chất dinh dưỡng cũng bị chuyển hóa nhanh, từ đó khiến bạn luôn cảm thấy mệt mỏi, uể oải.

Dưới đây là một số dấu hiệu cảnh báo bạn đang bị stress quá mức, cần được khắc phục ngay bằng một chế độ ăn phù hợp.

Thay đổi thói quen đi đại tiện

Nếu hàm lượng magie trong cơ thể bạn hạ thấp thì bạn sẽ có nguy cơ gặp phải một trong những dấu hiệu stress như lo âu, mất ngủ, trầm cảm, đau cơ...

Do hàm lượng magie không đủ trong cơ thể sẽ gây ảnh hưởng tới ruột và hệ tiêu hóa, từ đó khiến bạn mất kiểm soát chức năng và dẫn tới tình trạng táo bón, tiêu chảy...

Xuất hiện những dấu hiệu này cho thấy bạn đang bị stress nghiêm trọng, cần khắc phục ngay bằng một chế độ ăn lành mạnh - Ảnh 1.

Cách khắc phục: Bổ sung đủ từ 300 - 500mg magie mỗi ngày sẽ giúp bạn thoát khỏi tình trạng trên. Một số loại thực phẩm giàu magie mà bạn có thể bổ sung là các loại hạt, đậu, rau lá xanh, cà rốt, khoai lang, bơ, bông cải xanh, cá, thịt...

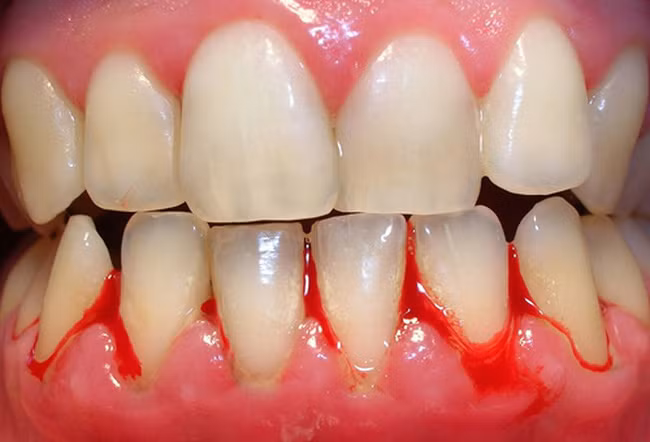
Chảy máu lợi

Vitamin C là một chất chống oxy hóa với chức năng chuyển hóa các hoạt động trong cơ thể. Đồng thời, nó sẽ hỗ trợ sản sinh các hormone chống stress và cải thiện việc phát triển collagen từ bên trong, từ đó tạo ra các mô mới cho cơ thể.

Tuy nhiên, khi cơ thể thiếu vitamin C, bạn không những bị stress mà còn có thể gặp phải tình trạng chảy máu lợi khi đánh răng.

Xuất hiện những dấu hiệu này cho thấy bạn đang bị stress nghiêm trọng, cần khắc phục ngay bằng một chế độ ăn lành mạnh - Ảnh 2.

Cách khắc phục: Hãy bổ sung thêm vitamin C từ một số loại quả mọng, trái cây có múi, rau lá xanh, măng tây, đu đủ, dứa, cà chua...

Xuất hiện vết nứt ở khóe môi

Vitamin B có vai trò quan trọng đối với sức khỏe của hệ thần kinh và rất cần thiết trong quá trình chuyển hóa năng lượng từ carbs, chất béo, protein mà chúng ta thu nạp vào cơ thể.

Tuy nhiên, vì sử dụng quá nhiều vitamin B nên cơ thể bạn sẽ tiêu tốn nhiều năng lượng, từ đó gây ra tình trạng stress. Đặc biệt, các vết nứt xuất hiện ở khóe môi chính là một dấu hiệu cảnh báo tình trạng thiếu hụt vitamin B6.

Vitamin B6 có liên quan tới sự sản sinh các chất dẫn truyền thần kinh là serotonin, dopamine và melatonin, từ đó khiến bạn gặp căng thẳng trong một thời gian dài.

Xuất hiện những dấu hiệu này cho thấy bạn đang bị stress nghiêm trọng, cần khắc phục ngay bằng một chế độ ăn lành mạnh - Ảnh 3.

Cách khắc phục: Bạn có thể bổ sung thêm các loại thực phẩm chứa vitamin B6 từ cà rốt, óc chó, hạt hướng dương, bơ, chuối, đậu, bông cải xanh, khoai tây...

Có đốm trắng trên móng tay

Những đốm trắng xuất hiện trên móng tay thường là do cơ thể đang thiếu hụt canxi và kẽm. Bên cạnh đó, nó cũng là một dấu hiệu cho thấy bạn đang bị stress quá mức và cần phải cải thiện bằng một chế độ ăn lành mạnh hơn.

Xuất hiện những dấu hiệu này cho thấy bạn đang bị stress nghiêm trọng, cần khắc phục ngay bằng một chế độ ăn lành mạnh - Ảnh 4.

Cách khắc phục: Một số loại thực phẩm giàu canxi và kẽm mà bạn nên bổ sung là cá thịt, hạt hướng dương và các loại hải sản như cua, sò, tôm...

Mọc mụn trứng cá trên cánh tay và đùi

Vitamin E là chất chống oxy hóa hòa tan trong chất béo, giúp cải thiện việc lưu thông máu và liền sẹo, ổn định huyết áp cân bằng. Khi cơ thể không có đủ nguồn vitamin E cần thiết, bạn có thể gặp phải tình trạng nổi mụn trứng cá đầu cứng ở cánh tay và chân.

Đây cũng là một dấu hiệu cảnh báo cơ thể đang bị stress nghiêm trọng mà bạn không nên chủ quan bỏ qua.

Xuất hiện những dấu hiệu này cho thấy bạn đang bị stress nghiêm trọng, cần khắc phục ngay bằng một chế độ ăn lành mạnh - Ảnh 5.

Cách khắc phục: Hãy bổ sung thêm một số loại thực phẩm giàu vitamin E từ rau lá xanh đậm, đậu, các loại hạt, ngũ cốc nguyên hạt, khoai lang, cải xoong...

Theo afamily.vn

Tin tiêu điểm

Đừng bỏ lỡ

Indonesia ưu tiên cải tạo trường học và hỗ trợ giáo viên.

Indonesia đẩy mạnh số hóa giáo dục

GD&TĐ - Indonesia sang năm đầu cải cách giáo dục với nhiều kết quả tích cực như nâng cấp cơ sở vật chất, số hóa dạy học và cải thiện phúc lợi giáo viên.