Một tháng trước, cô Lai, 40 tuổi đến Bệnh viện Tưởng niệm Tôn Trung Sơn của Đại học Tôn Trung Sơn với cái bụng to. Năm 2011, cô đã thắt buồng trứng sau khi sinh đứa con thứ hai. Sau nhiều năm đột nhiên cô Lai thấy bụng có dấu hiệu to dần lên.
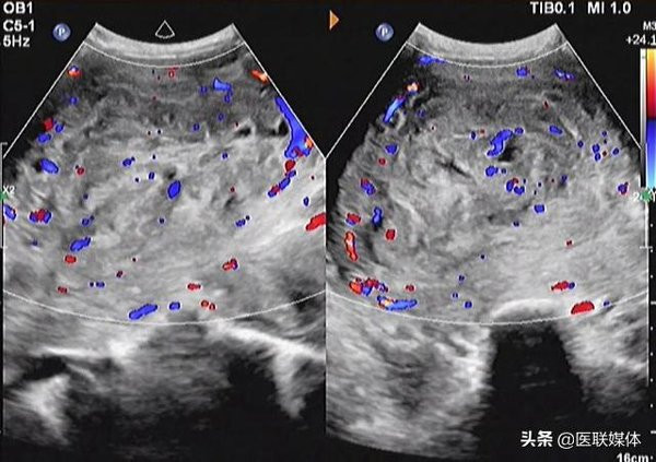
Lo lắng không biết liệu bản thân có thai thật hay không nên cô đã tới bệnh viện kiểm tra. Các bác sĩ nhìn bên ngoài cô Lai trông khá xanh xao, gầy gò, riêng phần bụng thì nhô cao. Kiểm tra siêu âm phát hiện cô Lai có nhiều khối u xơ tử cung lớn đã chạm tới rìa trên của rốn, khối u lớn nhất khoảng 11cm, có khối u khoảng 7cm.
Do áp lực của u xơ tử cung lớn và nhỏ nên đường nội mạc tử cung cũng không hiện rõ ràng. Ngoài ra, xét nghiệm máu của cô Lai cho thấy huyết sắc tố chỉ 84g/l, chỉ số này cho thấy u xơ tử cung khiến máu kinh nguyệt chảy ra nhiều, từ đó dẫn tới thiếu máu.
Lúc này cô Lai mới nhớ lại 10 năm trước, cô cũng đi khám và phát hiện có khối u xơ tử cung dài khoảng 3cm. Thời điểm ấy vì không gặp phải bất cứ vấn đề gì nên cô cũng không điều trị.
Sau lần sinh nở thứ hai, khối u xơ có lớn thêm nhưng do sợ hãi nên cô không dám đi khám.

Siêu âm cho thấy có nhiều khối u to, nhỏ khác nhau trong tử cung của cô Lai.
Phó giáo sư Yao Tingting, chuyên gia ung thư phụ khoa tại Bệnh viện Tưởng niệm Tôn Trung Sơn dựa trên kích thước khối u quá lớn và cô Lai cũng không có nhu cầu sinh con nên đã quyết định cắt bỏ tử cung, ca phẫu thuật kéo dài 1 tiếng đồng hồ kết thúc thành công.
Cô Lai cũng dần hồi phục sau ca phẫu thuật và sớm được xuất viện.
Phó giáo sư Yao Tingting cho biết, hầu hết bệnh nhân bị u xơ tử cung không có triệu chứng và đôi khi phát hiện u xơ thông qua kiểm tra siêu âm.
Các triệu chứng lâm sàng thường gặp bao gồm: chảy máu tử cung, có khối u ở bụng và các triệu chứng chèn ép, phình bụng, đau thắt lưng, tăng tiết dịch âm đạo, vô sinh, sảy thai, thiếu máu,... Một khi các triệu chứng trên xuất hiện nên đến bệnh viện càng sớm càng tốt.
Phó giáo sư Yao Tingting cũng chia sẻ thêm về cách điều trị: "Việc điều trị u xơ tử cung nên dựa trên tuổi, triệu chứng và yêu cầu sinh sản của bệnh nhân, cũng như kích thước, số lượng và loại u xơ tử cung".
Nếu bệnh nhân không có triệu chứng rõ ràng và không có dấu hiệu ác tính, có thể được theo dõi thường xuyên. Nếu các triệu chứng nhẹ, bệnh nhân có thể dùng thuốc.
Nếu u xơ gây ra rong kinh và gây thiếu máu thứ phát, đau bụng do u xơ, khối lượng u xơ quá mức, các triệu chứng chèn ép bàng quang hoặc trực tràng, u xơ gây vô sinh hoặc sẩy thai tái phát, biến đổi ác tính của u xơ,... thì cần điều trị bằng phẫu thuật.
Nhiều bệnh nhân lo lắng rằng phẫu thuật u xơ tử cung sẽ ảnh hưởng đến khả năng sinh sản. Phó giáo sư Yao Tingting cho biết việc điều trị phẫu thuật u xơ tử cung được chia thành phẫu thuật cắt bỏ u xơ và cắt tử cung.
Cắt tử cung có thể được thực hiện ở những bệnh nhân không có yêu cầu về khả năng sinh sản, u xơ tử cung nhiều hoặc nghi ngờ chuyển đổi ác tính. Nếu bệnh nhân vẫn có mong muốn sinh đẻ, có thể chọn phẫu thuật cắt bỏ u xơ tử cung, phẫu thuật sẽ không ảnh hưởng đến khả năng sinh sản, nhưng nên tránh thai sau phẫu thuật trong nửa năm đến hai năm để chuẩn bị mang thai.