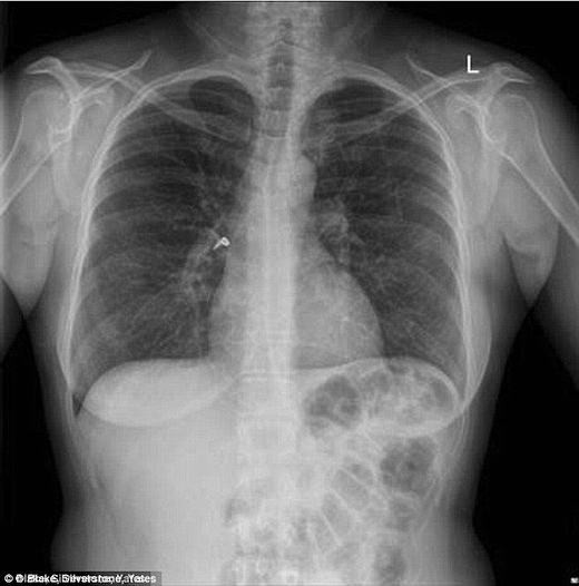
Hít... 1 chiếc khuyên tai vào phổi
Một phụ nữ 41 tuổi người Úc đã phải nhập viện trong tình trạng ho ra máu, khò khè, thậm chí rất khó thở. Tại bệnh viện St Vincent ở Sydney, người ta đã chụp X-Quang và phát hiện trong phổi cô có 1 chiếc khuyên tai.

Có thể thấy rõ chiếc khuyên tai. (Ảnh: Internet)
Theo lời kể, nạn nhân bị bệnh hen suyễn. Dù đang khá mệt nhưng cô vẫn cố gắng chuẩn bị tươm tất bữa tiệc đón năm mới. Lo lắng bệnh sẽ tồi tệ hơn, cô đã để ống hít trong túi để hạn chế cơn hen.
Tuy nhiên, khi hít 1 hơi thật mạnh, cô bắt đầu cảm thấy như có một vết xước dài trong cổ họng. Sau đó, cô ho ra máu và được chuyển tới bệnh viện.
Chiếc khuyên tai chính là thứ bị mắc kẹt trong ống hít và bị cô đưa vào phổi qua đường mũi. Các bác sĩ đã mổ nội soi để lấy vật thể này ra sau đó.
Uống trà xanh bị viêm gan
Một cô gái 16 tuổi người Trung Quốc đã phải nhập viện trong tình trạng vàng da, chóng mặt, buồn nôn, dạ dày, đau khớp, lòng trắng mắt chuyển qua màu vàng và bị viêm gan nặng.

Trà xanh cũng có thể gây viêm gan. (Ảnh: Internet)
Ban đầu, các bác sĩ chẩn đoán cô mắc bệnh do uống quá nhiều bia rượu. Tuy nhiên, cô và gia đình cho biết cô không hề biết các chất kích thích này.
Tiếp tục hỏi, các bác sĩ biết được rằng cô bé có thói quen uống nhiều trà xanh sau khi nghe các phương tiện thông tin đại chúng nói rằng nó có thể giảm cân, chống lại ung thư cũng như các bệnh hiểm nghèo khác. Được biết, cô bé uống một loại trà túi lọc bán phổ biến tại địa phương.
Các bác sĩ sau đó đã khuyên cô ngừng uống loại trà này và bất kì trà xanh nào khác. 2 tháng sau, bệnh đã tiến triển tích cực, chức năng gan trở lại bình thường. Cô bé xuất viện sau đó ít lâu.
Quên điện thoại trong bụng sản phụ
Sự việc hi hữu này được ghi nhận tại Jordan, theo Gulf News.

Bác sĩ bất cẩn để quên điện thoại trong bụng sản phụ. (Ảnh: CORBIS)
Theo đó, “nạn nhân” là một phụ nữ có tên Hanan Mahmoud Abdul Karim, 36 tuổi. Mẹ cô, bà Majeda Abdul Hamid, nói với truyền thông địa phương rằng con gái mình đã sinh ra một cậu bé 4.8kg. Tuy nhiên sau khi mổ, bác sĩ đã “vô tư” để quên điện thoại trong bụng. Mọi việc chỉ được phát hiện khi... chuông điện thoại reo lên.
Bác sĩ phụ trách ca mổ lập tức nhận trách nhiệm. Một ca phẫu thuật được tiến hành và chiếc điện thoại bị loại bỏ khỏi bụng Hanan sau đó.