Cân nhắc trước khi xem: Kinh hoàng clip lấy khối ráy tai khổng lồ từ tai bệnh nhân

Nếu đang ăn cơm, chúng tôi khuyên bạn không nên xem clip này vì nó rất khủng khiếp. Bạn nên cân nhắc nhé!

Cân nhắc trước khi xem: Kinh hoàng clip lấy khối ráy tai khổng lồ từ tai bệnh nhân
Theo Daily Mail, đoạn video ghi lại toàn bộ quá trình lấy khối ráy tai khổng lồ trong tai một bệnh nhân của bác sĩ Omar, người Malaysia.
Theo đó, bệnh nhân đã đến gặp bác sĩ Omar vì cảm thấy có vật gì đó chặn trong tai của mình và người này không thể nghe được âm thanh bên ngoài.
Sau 2 lần gắng lấy khối ráy tai ra ngoài nhưng không thành công, bệnh nhân cảm thấy đau đớn, khó chịu, bác sĩ Omar đã quyết định gây mê để tiến hành lấy khối ráy tai kinh dị này.
Video: Cảnh lấy khối ráy tai khổng lồ từ tai bệnh nhân.
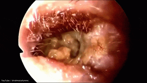
Đoạn video cho thấy cảnh bác sĩ dùng kẹp gắp từng mảng ráy tai đã bịt kín hết cả lỗ tai bệnh nhân ra ngoài. Video được đăng tải lên Youtube đã thu hút hơn 500.000 lượt xem. Nhiều người tỏ ra kinh hãi khi nhìn thấy cảnh tượng khủng khiếp này.
day-tai-khong-lo
Hình ảnh kinh dị khiến nhiều người giật mình.
Bác sĩ Omar cũng cho biết việc vệ sinh tai thường xuyên có thể là nguyên nhân dẫn đến việc có nhiều mảng ráy tai bám chặt quanh lỗ tai của bạn, đặc biệt là khi bạn dùng tăm bông.
day-tai-khong-lo
Cận cảnh những mảng ráy tai trong lỗ tai bệnh nhân.
Thực tế, khi đẩy tăm bông vào tai, bạn không chỉ đem vi khuẩn vào tai mà còn đẩy một số ráy tai sâu vào bên trong, hoặc khiến nó bám chặt hơn quanh lỗ tai. Khi những mảng ráy tai đang dần rơi ra ngoài thì bằng cách ngoáy, bạn lại vô tình đẩy nó vào trong khiến bụi bẩn và vi khuẩn cùng với ráy mắc kẹt lại bên trong và lâu dần sẽ gây viêm loét trong tai.
(Nguồn: Daily Mail)
Theo afamily.vn

Tin tiêu điểm

Đừng bỏ lỡ