Người bệnh Đ.X.Th là nam giới, 71 tuổi, Cẩm Khê - Phú Thọ, được chuyển tuyến từ Trung tâm Y tế huyện Cẩm Khê trong tình trạng ý thức lơ mơ, liệt nửa người, thất ngôn vận động, liệt mặt, rối loạn nuốt nặng với tiền sử nhồi máu não cách đây 4 tháng không để lại di chứng
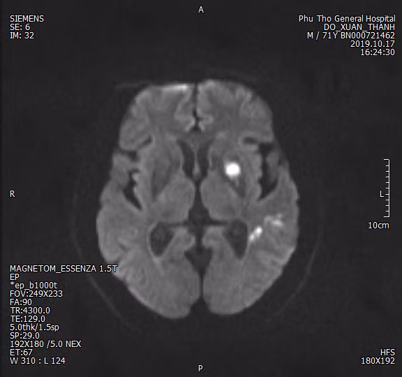
Bệnh nhân ngay lập tức được chỉ định sử dụng chụp cắt lớp vi tính có sử dụng trí tuệ nhân tạo (RAPID). Hình ảnh RAPID phát hiện gần như toàn bộ vùng thân não người bệnh bị tổn thương, thể tích vùng cần cứu lên đến 40ml.
Hệ thống mạch sau khi được dựng 3D ở nhiều góc độ giúp các bác sỹ kết luận người bệnh bị tắc động mạch đòi hỏi phải can thiệp sớm để lấy huyết khối và tái thông mạch.
![]() |
| Bệnh nhân đã có thể vận động (BVCC). |
Ê kíp can thiệp đầu tiên của Trung tâm đã bắt tay thực hiện cho người bệnh vào giờ thứ 8.
Ths.Bs Phan Ngọc Nhu - Phó trưởng Đơn vị điều trị thần kinh - đột quỵ bán cấp - Trung tâm Đột quỵ chia sẻ: "Chúng tôi đã sử dụng stent Solitaire tạo luồng thông tạm thời và lấy huyết khối ra khỏi mạch não. Tuy nhiên, do xuất hiện hẹp nặng mạch máu tại vị trí tắc nên việc can thiệp trở nên khó khăn. Nỗ lực sau 2 lần nong bóng, chúng tôi đã tái thông mạch hoàn toàn".
Có rất nhiều nguyên nhân gây tắc mạch máu não, trong đó xơ vữa động mạch chiếm đến 50% các ca bệnh và thường gặp người có tuổi mắc bệnh tim mạch, cao huyết áp, tiểu đường, béo phì, mỡ máu cao, nghiện thuốc lá nặng; xuất hiện nhiều vào những đợt rét đậm....
Bệnh nhân Đ.X.Th được theo dõi tại Trung tâm Đột quỵ đã có thể ra viện ngày 28/10 khi tình trạng sức khỏe đã ổn định, có thể vận động bình thường.
Bác sỹ Phan Ngọc Nhu cũng khuyến cáo: Việc ứng dụng trí tuệ nhân tạo RAPID giúp các bác sỹ mở rộng cửa sổ điều trị lên đến 24 giờ. Tuy nhiên, người bệnh đột quỵ càng được phát hiện sớm càng giảm nguy cơ tử vong nhất là trong giờ vàng (3 - 4,5 giờ đầu). Người dân nên thường xuyên kiểm tra sức khỏe định kì, có chệ độ ăn uống, lối sống lành mạnh và luyện tập thể dục thể thao để phòng tránh đột quỵ
