Vượt 'giờ vàng', giữ lại chân cho thầy giáo Campuchia sau tai nạn nghiêm trọng

GD&TĐ - Vượt qua "giờ vàng" 16 tiếng, thầy giáo Campuchia được các bác sĩ ở TPHCM phẫu thuật giữ lại chân thay vì cắt bỏ.

Ê kíp thực hiện phẫu thuật.
Ê kíp thực hiện phẫu thuật.

Ngày 9/2, thông tin từ Bệnh viện Đa khoa Quốc tế Minh Anh, trong y văn thế giới, 6 giờ đầu tiên sau tai nạn được xem là "thời điểm vàng" để cứu sống một chi thể bị tổn thương mạch máu. Thế nhưng, anh N.K.P (47 tuổi, giáo viên người Campuchia) nhập viện khi đã qua giờ thứ 22.

Bệnh nhân P. nhập viện trong tình trạng khoeo chân dập nát, mạch mu chân không bắt được. Bàn chân trái lạnh ngắt dù các ngón chân còn cử động yếu ớt.

Trước đó, các cơ sở y tế tại địa phương đưa ra kết luận phải cắt cụt chi để bảo toàn tính mạng. Không chấp nhận sự thật nghiệt ngã, gia đình đã đến Việt Nam để cố gắng cứu chữa.

BS Nguyễn Hoàng Long, khoa Chấn thương chỉnh hình, đánh giá đây là một quyết định vô cùng mạo hiểm. Việc tái thông mạch máu sau 22 giờ tiềm ẩn nguy cơ "hội chứng tái tưới máu" rất cao. Khi đó, chất độc tích tụ từ phần hoại tử sẽ ồ ạt trở về tim, có thể gây suy thận, rung tim và khiến bệnh nhân tử vong ngay trên bàn mổ.

"Tuy nhiên, sau khi thám sát kỹ lưỡng thấy các khối cơ chưa hoại tử hoàn toàn, ekip bác sĩ thống nhất quyết tâm phải cứu lấy đôi chân để giữ lại hình hài vẹn nguyên cho người thầy giáo", BS Long cho hay.

1000163884.jpg
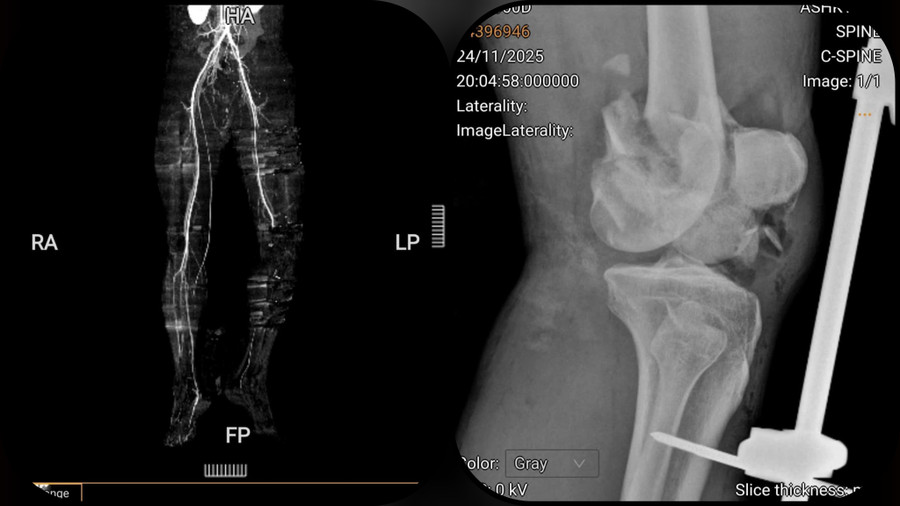
Phim CT mạch máu tổn thương hoàn toàn động mạch khoeo chân trái và Xquang gãy liên lồi cầu đùi trái di lệch nhiều.

Ca phẫu thuật là sự phối hợp giữa chuyên khoa Chấn thương chỉnh hình và Mạch máu. BS.CKII Nguyễn Thành Hưng, khoa Lồng ngực - Mạch máu, xử lý vùng hố khoeo với cấu trúc giải phẫu phức tạp. Do động mạch khoeo đã đứt rời và mất một đoạn dài hơn 2cm, các bác sĩ phải dùng kỹ thuật vi phẫu, lấy tĩnh mạch hiển tự thân ở chân lành làm "cầu nối" để đưa dòng máu ấm về nuôi chân bị thương.

Ca mổ thành công, bệnh nhân P. nằm tại phòng Hồi sức tích cực thêm 10 ngày.

Sau khi ổn định mô mềm và kết hợp xương, thầy giáo người Campuchia có thể cử động, nhấc chân và chuẩn bị xuất viện.

Qua trường hợp hy hữu này, các chuyên gia khuyến cáo, với tai nạn giao thông có tổn thương mạch máu, người dân cần đến các trung tâm y tế chuyên sâu để kịp thời cứu chữa.

Tin tiêu điểm

Đừng bỏ lỡ

Phương tiện bị cháy.

Cháy ghe thu mua hải sản ở Cà Mau

GD&TĐ - Ghe thu mua hải sản neo đậu tại phường Hiệp Thành (Cà Mau) bất ngờ bốc cháy dữ dội, toàn bộ tài sản trên phương tiện bị thiêu rụi.

Các hoạt động ngoại khóa được xem là không gian để học sinh khám phá khả năng của bản thân ngoài khuôn khổ lớp học. Ảnh: INT.

Bản lĩnh trưởng thành từ những lần thử sức

GD&TĐ - Nhiều nhà giáo dục cho rằng bên cạnh kiến thức học thuật, trẻ em cần được nuôi dưỡng những phẩm chất giúp thích nghi với thế giới rộng lớn hơn: Sự chủ động, tinh thần thử nghiệm và khả năng đối mặt với thất bại.