Các bác sĩ của khoa Nam học và Y học Giới tính, Bệnh viện Đại học Y Hà Nội, đã tiếp nhận một bệnh nhân nam, 36 tuổi, tới khám do phát hiện khối sưng và cảm giác đau tức vùng bẹn trái. Bệnh nhân có tiền sử khỏe mạnh, đã lập gia đình, có 3 người con.
Theo bệnh nhân, từ nhỏ bệnh nhân đã không sờ thấy tinh hoàn bên trái, bệnh nhân đã tự tìm hiểu và biết mình bị ẩn một bên tinh hoàn trái, nhưng tâm lý ngại đi khám và một phần chủ quan nên chưa đi khám và điều trị gì.
Hai tuần nay bỗng dưng thấy đau tức, nổi khối cứng vùng bẹn trái, khối tăng dần kích thước, bệnh nhân lo lắng đến khám tại khoa Nam học và Y học Giới tính, Bệnh viện Đại học Y Hà Nội.
Qua thăm khám, bác sỹ phát hiện bệnh nhân khuyết một bên tinh hoàn trái, sờ thấy một khối cứng chắc, ấn đau tức vùng bẹn trái.
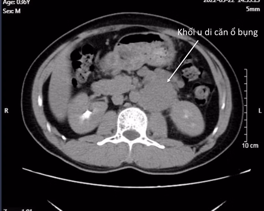
Các xét nghiệm, hình ảnh chụp cộng hưởng từ cho thấy, vị trí khối sưng vùng bẹn trái chính là tinh hoàn đã ung thư hóa, tồi tệ hơn nữa là khối u đã di căn tới nhiều vị trí vùng chậu và ổ bụng.
Bệnh nhân này được chỉ định phẫu thuật cắt u tinh hoàn, nạo vét hạch và có thể phối hợp điều trị hóa chất sau đó.

Hình chụp X-quang khối u tinh hoàn của bệnh nhân. Ảnh: BV.
Theo tiến sĩ Nguyễn Hoài Bắc, khoa Nam học và Y học Giới tính, Bệnh viện Đại học Y Hà Nội, ẩn tinh hoàn là một bệnh lý bẩm sinh, do tinh hoàn không di chuyển xuống vị trí bình thường tại bìu, mà nằm bất thường ở nhiều vị trí khác (Ống bẹn, đùi, trước xương mu, trong ổ bụng, trước bàng quang…).
Ẩn tinh hoàn là bệnh lý phổ biến ở trẻ trai với tỷ lệ 3- 5% ở trẻ đủ tháng, 30 - 45% ở trẻ sinh non. Một số nguyên nhân có thể dẫn tới bệnh lý ẩn tinh hoàn như: Rối loạn nội tiết tố, bất thường di truyền, bất thường cấu trúc giải phẫu, sinh non, thiếu cân….
Theo bác sĩ, tinh hoàn ẩn nếu không được can thiệp phẫu thuật hạ xuống bìu sớm trước 18 tháng tuổi thì có thể để lại nhiều hậu quả nghiêm trọng như: Teo tinh hoàn, xoắn tinh hoàn, chấn thương tinh hoàn, ảnh hưởng tới tâm lý mặc cảm, tự ti và đặc biệt nguy hiểm khi tinh hoàn ẩn có nguy cơ tiến triển thành ung thư cao gấp 10 lần người bình thường.
Bác sĩ khuyên rằng, nếu gia đình hoặc người thân có tình trạng ẩn tinh hoàn như trên, hãy đưa đi khám sớm nhất có thể.