GD&TĐ - Một người đàn ông tại huyện Yên Châu (Sơn La) vừa nhập viện trong tình trạng mất "của quý". Nguyên nhân ban đầu được cho là xuất phát từ mâu thuẫn gia đình, vợ của nạn nhân đã cắt bỏ.
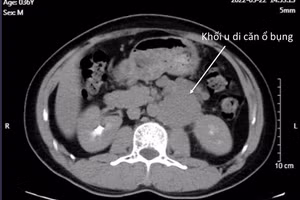
GD&TĐ - Bệnh nhân nam bị ung thư tinh hoàn đã phẫu thuật và sử dụng hóa trị nhưng khối u di căn trong bụng ngày càng to chiếm hết ổ bụng. Bác sĩ vẫn quyết định phẫu thuật cứu chữa dù rủi ro rất cao.
GD&TĐ - Nam thanh niên 21 tuổi bị tai nạn xe máy, nhập viện trong tình trạng chấn thương sọ não, chấn thương hàm mặt, vết thương vùng bẹn trái và bị đứt rời hoàn toàn ống dẫn tinh trái…