Khi thuê giúp việc và bảo mẫu, chúng ta tin tưởng rằng, họ sẽ đặt lợi ích của con mình lên trên hết. Thật đáng buồn khi điều này không phải lúc nào cũng đúng. Có quá nhiều câu chuyện kinh dị bảo mẫu bạo hành trẻ đã được đưa ra ánh sáng. Nói thế không phải để khẳng định tất cả họ đều xấu. Nhưng khi nghe những câu chuyện như thế, chúng ta hẳn sẽ càng thêm thận trọng trong việc "chọn mặt gửi vàng" đứa con bé bỏng, quý giá của mình.
Trường hợp mới nhất liên quan tới một bé 3 tháng tuổi nghi bị bảo mẫu bạo hành tới mức gãy xương đùi xảy ra ở Malaysia.
Cha bé cho biết, anh đã gửi con gái mình tới nhà bảo mẫu tầm 7 giờ sáng và đón con lúc 3h15 chiều ngày 12/6. Lúc gửi đi, bé hoàn toàn khỏe mạnh, vui cười. Nhưng khi về tới nhà, người cha bối rối không hiểu vì sao con cứ khóc mãi không thôi.
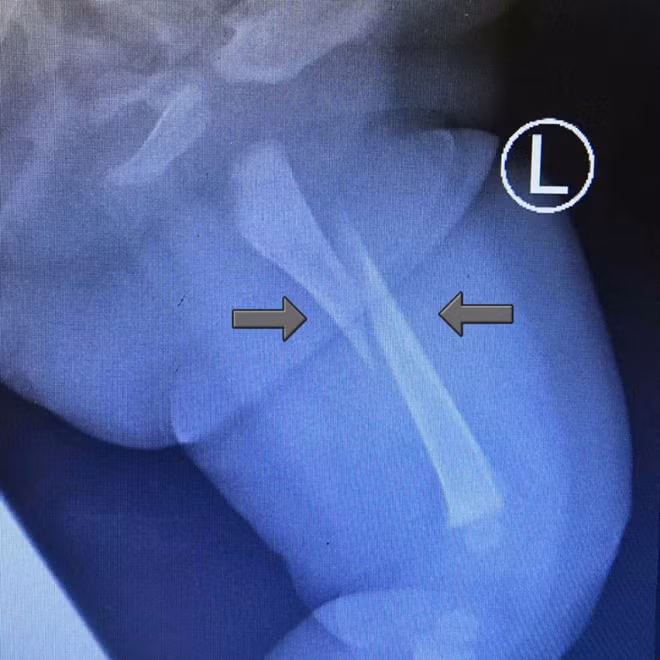
Là một phụ tá bác sĩ ở bệnh viện Shah Alam, bang Selangor, anh đã quyết định đưa con đi khám xem sao. Tại đây, người cha đã sốc khi nhìn kết quả X-quang cho thấy con mình bị gãy xương đùi.
 
 Bác sĩ kết luận em bé bị gãy xương đùi.
Hiện, vẫn chưa rõ điều gì khiến xương đùi bé bị gãy hay đây là lỗi của bảo mẫu. Tuy nhiên, bệnh viện cho biết, họ sẽ cố gắng để tìm ra nguyên nhân chính xác của vụ việc. Phía cảnh sát cũng đang lấy lời khai của bảo mẫu để phục vụ quá trình điều tra.
Dấu hiệu trẻ bị rạn/ gãy xương cha mẹ cần biết
Không cha mẹ nào muốn con mình gặp phải chấn thương, đặc biệt là rạn/gãy xương. Mặc dù phần lớn trường hợp rạn/gãy xương không gây nguy hiểm tính mạng, chúng vẫn thuộc diện "cần phải tránh" bằng mọi giá.
Nhiều trẻ bị rạn/gãy xương khi chưa biết nói, vì thế bố mẹ cần nhận biết các dấu hiệu khi con gặp phải tình trạng này:
 
 Ảnh chụp X-quang cho thấy bé 3 tháng tuổi bị gãy xương đùi.
- Sưng phù quanh vùng xương bị gãy.
 - Khóc liên tục không dứt.
 - Không thể di chuyển tay/chân.
 - Đỏ tấy và thâm tím.
 - Vùng cơ thể chịu ảnh hưởng bị biến dạng thấy rõ.
Cha mẹ nên làm gì?
Nếu bạn cho rằng con mình bị rạn/gãy xương, hãy đưa bé tới bệnh viện ngay lập tức. Những loại chấn thương này không nên xem nhẹ. Không chỉ bởi chúng gây ra khó chịu rất lớn cho trẻ mà còn có thể để lại di chứng lâu dài nếu không được điều trị kịp thời.
Hãy đảm bảo tuân thủ chỉ dẫn của bác sĩ để có thể chăm sóc vết thương cho bé một cách tốt nhất.
Có thể phòng ngừa rạn/gãy xương cho trẻ không?
- Trong phần lớn trường hợp, điều duy nhất cha mẹ nên lưu ý là lúc nào cũng để mắt tới con. 
 - Tránh đặt trẻ ở những nơi mà trẻ có thể bị ngã hoặc tự làm đau mình. 
 - Luôn cẩn thận khi đưa trẻ ra ngoài.
 - Đặc biệt cẩn thận trong mọi chuyện liên quan tới bé, bạn sẽ không phải lo lắng quá nhiều về những chấn thương nghiêm trọng.
 - Về việc đảm bảo con bạn không bị thương dưới sự chăm sóc của một người khác, cha mẹ phải thẳng thắn chia sẻ mong đợi của mình với người đó. Ví dụ, nếu trẻ bị đập đầu vào đâu đó khi không có mặt bạn, hãy đề nghị người trông bé lập tức thông báo cho bạn, chớ vì sợ hãi mà giấu giếm.
 - Trao cho người trông trẻ danh sách các số điện thoại liên lạc khẩn cấp và khuyên họ nên làm gì nếu xảy ra trường hợp cấp cứu.
Nhận biết trẻ bị bạo hành ở nơi giữ trẻ
Sau vụ việc trên, Tiến sĩ, bác sĩ người Malaysia Kamarul Ariffin Nor Sadan đã liệt kê các dấu hiệu quan trọng cho thấy trẻ có thể đã bị bạo hành ở trung tâm giữ trẻ như sau:
- Trẻ khóc và vật lộn mỗi khi được gửi đến người giữ trẻ/nơi trông trẻ.
- Trẻ dễ dàng trở nên sợ người lạ.
 - Những thay đổi trong hành vi của trẻ như: hoặc là quá lầm lì, hoặc quá kích động.
 - Các vết bầm tím xuất hiện trên cơ thể của trẻ. 
 - Trẻ gặp ác mộng thường xuyên, mê sảng hoặc khó ngủ.
 
  
  
   
   
   
   
   
   
   
   
   
   
   
   
   
   
   
   
   
   
   
   
   
   
   
   
   
   
   
   
   
   
   
   
   
  