Mới đây, tại khoa Hồi sức cấp cứu, Bệnh viện 74 đã tiếp nhận bệnh nhân nam N.H.H.A, sinh năm 1982, ở Hương Canh- Bình Xuyên- Vĩnh Phúc.
Bệnh nhân vào viện trong tình trạng sốt cao liên tục 39-400C, rét run, đau ngực, khó thở.
Trước đó, bệnh nhân đã biểu hiện sốt 01 tuần, ho, có đờm đục. Bệnh nhân đã đi khám và điều trị tại một số bệnh viện nhưng bệnh đỡ chậm. Bệnh nhân chuyển sang điều trị tại Bệnh viện 74 Trung ương.
Theo Ts.Bs Nguyễn Văn Tình, Trưởng khoa Hồi sức cấp cứu, Bệnh viện 74 Trung ương cho biết, bệnh nhân A nhập viện với biểu hiện sốt cao liên tục 39-400C, ho đờm đục, khó thở khi gắng sức nhẹ, ăn uống kém, đau ngực trái nhiều, đau tăng khi ho.
![]() |
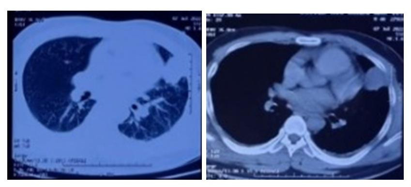
| Hình ảnh phim chụp cắt lớp vi tính lồng ngực của bệnh nhân. |
Qua khai thác tiền sử được biết bệnh nhân bị đái tháo đường typ II 10 năm, phải tiêm insulin hàng ngày. Thông qua thăm khám ban đầu, bệnh nhân được chẩn đoán: Theo dõi Viêm phổi – Nhiễm khuẩn huyết /Đái tháo đường typ II.
Sau đó, bệnh nhân được làm các xét nghiệm: công thức máu, cấy đờm, cấy máu, chụp X quang tim phổi và chụp cắt lớp vi tính lồng ngực. Kết quả: Bạch cầu máu tăng cao, biểu hiện tình trạng nhiễm trùng nặng: 35 G/L, N 82,4%, CRP 215, siêu âm kết quả theo dõi ổ áp xe sát thành ngực trái kích thước 5 x 6 cm.
Tại Bệnh viện 74 Trung ương, từ năm 2015 đến nay đã tiếp nhận và điều trị thành công hàng chục ca bệnh Whitmore.
Bệnh nhân đã được hội chẩn điều trị kháng sinh liều cao phối hợp theo hướng viêm phổi áp xe hóa (Meropenem 3 g/24h, Levofloxacin 750 mg, Amikacin 750 mg/24h).
![]() |
| Ts.Bs Nguyễn Văn Tình, Trưởng khoa HSCC khám cho bệnh nhân N.H.H.A. |
Sau 02 ngày, kết quả cấy máu cho biết bệnh nhân bị nhiễm khuẩn máu do vi khuẩn Whitmore gây viêm phổi. Dựa vào kết quả kháng sinh đồ có nhạy cảm với Meropenem, Doxyclin, ceftazidim, bệnh nhâm được điều trị theo hướng kháng sinh đồ với vi khuẩn Whitmore.
Hiện tại, sau 06 ngày điều trị, tình trạng của bệnh nhân đã được cải thiện đáng kể: bệnh nhân đỡ sốt, đau ngực giảm, ho giảm, ăn uống tốt. Xét nghiệm bạch cầu máu giảm 20,2 G/L, CRP 25. Tuy nhiên, bệnh nhân vẫn phải tiếp tục phải điều trị theo phác đồ.
Bệnh hay gặp vào mùa mưa, liên quan đến nghề nghiệp hay tiếp xúc với đất
Ts.Bs Nguyễn Văn Tình thông tin thêm: “Bệnh này hay gặp vào mùa mưa, liên quan đến nghề nghiệp hay tiếp xúc với đất như: làm ruộng…. trên nền cơ thể có một số bệnh mạn tính như: Đái tháo đường, bệnh phổi tắc nghẽn mạn tính (COPD)…
Vi khuẩn Whitmore có thể sống nhiều năm trong đất và nước. Người và động vật tiếp xúc trực tiếp với nguồn đất/nước này sẽ có nguy cơ mắc bệnh. Những cách tiếp xúc trực tiếp bao gồm: Hít phải bụi hoặc giọt nước nhiễm vi khuẩn; uống nước bị ô nhiễm; chạm vào vùng đất nhiễm khuẩn bằng tay hoặc chân, nhất là khi trên da đang có vết trầy xước.
Biểu hiện lâm sàng của bệnh rất đa dạng, gây nên tổn thương nhiều cơ quan khác nhau trong đó có viêm phổi, áp xe phổi, tràn dịch màng phổi, mủ màng phổi. Bệnh dễ nhầm với một số bệnh phổi khác như viêm phổi do vi khuẩn, áp xe phổi, lao phổi…
Vì vậy, bác sĩ chẩn đoán có thể bỏ qua và muộn, không được điều trị kịp thời bệnh sẽ tiến triển nặng, nhiều biến chứng nguy cơ tử vong cao”.
Một số biện pháp phòng ngừa bệnh Whitmore
Các chuyên gia y tế cho biết, ở những nơi có bệnh lan truyền, việc tiếp xúc với đất hoặc nước bị ô nhiễm có thể làm tăng nguy cơ mắc bệnh whitmore. Tuy nhiên, ở những khu vực này, để giúp giảm thiểu rủi ro phơi nhiễm, người dân có thể thực hiện như sau:
- Người có vết thương ngoài da và những người mắc bệnh tiểu đường hoặc bệnh thận mãn tính có nguy cơ mắc bệnh nên tránh tiếp xúc với đất và vũng nước đọng.
- Nông dân nên mang ủng khi đi xuống ruộng, có thể ngăn ngừa nhiễm trùng qua chân.
- Đối với nhân viên y tế nên sử dụng các biện pháp phòng ngừa qua đường tiếp xúc (mặt nạ, găng tay và áo choàng) để giúp ngăn ngừa nhiễm trùng.
- Các trường hợp viêm phổi trên nền đái tháo đường, COPD, suy thận mạn, suy giảm miễn dịch… cần cảnh giác với nguyên nhân gây bệnh là trực khuẩn Whitmore.
Whitmore (hay bệnh melioidosis) là bệnh truyền nhiễm cấp tính nguy hiểm do loài vi khuẩn Burkholderia pseudomallei gây nên. Bệnh này chủ yếu xảy ra ở các nước khí hậu nhiệt đới, đặc biệt là ở Đông Nam Á và miền Bắc Australia.
Vi khuẩn sống trong đất, do vậy con đường lây nhiễm chính của bệnh là qua tiếp xúc các vết trầy xước trên da với đất hoặc nước có vi khuẩn. Lây nhiễm qua con đường hô hấp khi hít phải các hạt bụi đất có vi khuẩn.
Bệnh có diễn biến lâm sàng đa dạng, rầm rộ, đặc biệt ở phổi gây tình trạng viêm phổi, áp xe phổi, tràn dịch, tràn mủ màng phổi, suy hô hấp nhanh nếu không được chẩn đoán và điều trị kịp thời có thể dẫn tới nhiễm khuẩn máu và tử vong.Bệnh kháng với nhiều loại kháng sinh thông thường, điều trị tốt nhất dựa vào kháng sinh đồ qua các kết quả nuôi cấy vi khuẩn như: máu, đờm, dịch phế quản, dịch màng phổi, dịch tiết tại ổ áp xe da, cơ…

