1. Cái này không phải là đau răng...
Vào thời điểm trước khi đi khám, Patrick Lawler vẫn cứ nghĩ rằng mình đang bị đau răng. Sau khi đi khám và chụp X-quang, anh đã có thể thở phào rằng hàm răng của mình vẫn ổn nhưng chẳng hiểu sao lại có một cái đinh nằm gọn gàng trong hộp sọ xuyên lên đến tận... não...
2. Lời câu hôn đến từ "tận đáy lòng"
Khi một người đàn ông giấu tên đến từ New Mexico lên kế hoạch cầu hôn bạn gái mình, anh ta đã bí mật giấu chiếc nhẫn cưới vào món sữa lắc với ý định làm cô nàng ngạc nhiên bằng chiếc nhẫn đính kim cương nằm ở đáy cốc. Không may cho anh chàng ngớ ngẩn này, bạn gái của anh lại... đặc biệt khát vào ngày hôm đó và đã một hơi tu cạn cả sữa cả nhẫn.
Lẽ dĩ nhiên là lời cầu hôn này đã không được hoàn thiện cho tới tận thời điểm chiếc nhẫn "hoàn thành" chuyến đi của nó, tuy nhiên không có báo cáo nào ghi lại xem chiếc nhẫn này đã đi ra theo đường "tự nhiên" của cô gái hay phải có sự can thiệp của phẫu thuật.
3. Chàng "Lục Vân Tiên" xui xẻo
Khi một nhóm các chàng trai trẻ đang chờ xe bus quyết định tham gia vào ngăn chặn một vụ cướp vào năm 2008, một trong số các chàng trai này đã bị kháng cự và đâm.... ngập trán bằng một con dao. Ngạc nhiên hơn nữa là anh chàng này đã trải qua phẫu thuật thành công và hồi phục một cách đáng ngạc nhiên...
4. ...còn anh này thì không...
Đừng mất công tưởng tượng kỳ tích làm gì, anh chàng này thì chỉ đơn giản là đã chết cứng. Đây là phim chụp X-quang phục vụ công tác giám định tử thi, cho thấy anh này bị giết bằng một khẩu súng phóng đinh với hơn chục nhát bắn.
5. Quên kéo trong bụng bệnh nhân: truyền thuyết là có thật!
Khi chị Pat Skinner quay lại bệnh viện 18 tháng sau một cuộc phẫu thuật để than phiền là dạo này bụng cứ nhâm nhẩm đau, các bác sĩ đã chụp X-quang và nhanh chóng phát hiện ra ngày xưa bị mất một cái kéo phẫu thuật, tìm mãi không thấy đâu, thì ra là đã nhờ chị Pat cất hộ...
6. Mũi tên "xuyên táo"
Trẻ con thì hay chơi đánh trận giả, nhưng mà chơi nhập tâm tới mức này thì hơi quá đáng. Một cậu bé Trung Quốc không hiểu làm gì mà đã nhập viện trong tình trạng bị một mũi tên xuyên qua đầu, theo đường hốc mắt xuyên cả ra phía sau hộp sọ. Và kỳ lạ làm sao mà cậu bé này vẫn vượt qua tất cả để tiếp tục sống khỏe mạnh với thị lực giảm xuống ở mức "Thế Chột".
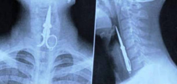
7. Nụ cười chết người

Trường hợp hy hữu này xảy ra khi một người Trung Quốc mượn kéo để... xỉa răng. Và trong khi đang xỉa răng thì bạn anh này lại vui tính kể chuyện cười, khiến anh này nuốt luôn phải chiếc kéo...
8. Lại một ca sống sót kỳ diệu...

Dường như những ca bị dị vật đâm vào đầu khi lên phim chụp X-quang đều may mắn sống sót, khi mà cựu chiến binh có phim chụp ở trên cũng qua khỏi hoàn toàn dù bị đâm sâu tới gần 10cm vào hộp sọ.
9. Chú cún thích nuốt dao
Con dao dài gần 33cm này không hiểu bằng cách nào lại nằm gọn lỏn trong dạ dày của một chú chó dòng Saint Bernard ở Florida tới 4 ngày trước khi chủ nhân phát hiện ra và đem chú đi phẫu thuật. Chú chó, dĩ nhiên, sau đó tiếp tục sống một cách khỏe mạnh và có vẻ như chưa nuốt thêm con dao nào khác.
10. Bóng đèn trong... xương chậu tù nhân...
Trường hợp này xảy ra tại một trại giam ở Pakistan, và mặc cho bác sĩ cạy miệng, thanh niên tù nhân này vẫn không hé răng nửa lời về việc tại sao chiếc bóng đèn này lại nằm ở đây.
11. ...và một chiếc điện thoại nắp gập nữa...
Mọi tình tiết của sự vụ này y chang như trường hợp bên trên, chỉ khác là nó xảy ra ở San Salvado, và dị vật lần này là một chiếc điện thoại nắp gập hiệu Siemens.
12. ...thêm một vụ "xuyên táo"...

Khi công nhân Ron Hunt ngã xuống từ một giàn giáo trong khi đang sử dụng một máy khoan cỡ lớn, mũi khoan đã... xuyên thẳng qua một hốc mắt của anh và để lại một phim X-quang cực kỳ rùng rợn như trên. Và, lại bằng một cách kỳ diệu nào đó, anh này đã tiêu hết vận may cả đời của mình để sống sót, hoàn toàn khỏe mạnh với một cái lỗ phía ót.
13. Chiếc chìa khóa cắm trên mặt
Tới tận bây giờ, người ta vẫn không thể hiểu được điều gì đã xảy ra với đứa trẻ 17 tháng tuổi tên Nicholas Holderman này. Người mẹ bất cẩn đã biến "Holderman" thành "Key-Holderman" khi vô tình làm chùm chìa khóa cắm sâu vào gương mặt cậu bé đáng thương này. Và may mắn thay, sau khi được cứu chữa kịp thời, cậu bé này vẫn vượt qua tất cả và lớn lên khỏe mạnh, bình thường.