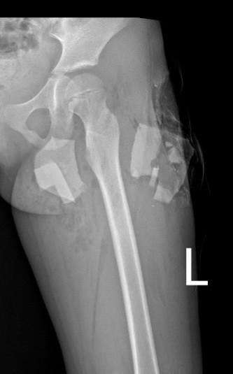
Ngay sau khi vào viện, bệnh nhân được khám, sơ cứu băng bó cầm máu vết thương và chụp phim X-quang. Phim chụp phát hiện có đa dị vật cản quang đầu trên đùi trái và cẳng chân phải. Bệnh nhân được chỉ định phẫu thuật cấp cứu, xử trí vết thương lấy dị vật.
Quá trình mổ, các bác sĩ phát hiện dị vật là mảnh sành xuyên từ mặt ngoài đùi trái, đi giữa lớp cơ thẳng đùi vào đến vùng dưới bẹn nơi có bó mạch thần kinh đi qua. Dị vật gãy làm đôi, một mảnh ở phía ngoài vết thương, còn một mảnh nằm sâu bên trong, để lại đường hầm nằm dưới lớp cơ.
Đặc biệt mảnh dị vật ở phía trong nằm sát ngay bên cạnh bó mạch thần kinh đùi, nhưng chưa gây tổn thương đến bó mạch. Tuy nhiên, việc gắp dị vật ra để không ảnh hưởng đến mạch máu thần kinh của bệnh nhân là điều không hề dễ dàng.
Sau hơn 2 giờ đồng hồ căng thẳng, cuộc mổ kết thúc an toàn, dị vật được lấy ra, vết thương được rửa sạch và khâu phục hồi lại.
![]() |
| Dị vật đâm sâu vào đùi trẻ. Ảnh: Bệnh viện Sản nhi Nghệ An. |
Trước đó, bệnh viện Trung ương Quân đội 108 cũng thông tin về trường hợp bệnh nhân nam 13 tuổi dùng bình gas mini để nấu ăn, bất ngờ bình ga mini phát nổ, khiến bệnh nhân nát bàn tay trái, bỏng mặt.
Sau đó, bệnh nhân được gia đình đưa đến cấp cứu tại Bệnh viện trong tình trạng vết thương phức tạp, gãy hở phức tạp các xương bàn, ngón tay trái, gãy hở 1/3 giữa 2 cẳng tay trái, bỏng mặt do tai nạn nổ bình gas giờ thứ 6.
TS.BS Nguyễn Quang Vịnh, Khoa chấn thương chi trên và vi phẫu thuật (Bệnh viện Trung ương Quân đội 108) chia sẻ, bệnh nhân đã được chỉ định phẫu thuật cấp cứu xử lý vết thương bàn tay, khâu phục hồi tổn thương bàn ngón tay, thay băng điều trị tổn thương bỏng. Các bác sĩ cố gắng cứu chữa từng phần chi thể còn lại của bệnh nhân và phải trải qua nhiều lần phẫu thuật thì bệnh nhân mới có thể làm liền vết thương và phục hồi được một phần nhỏ chức năng bàn tay.
Các chuyên gia khuyến cáo, các vụ tai nạn do nổ bình gas mini thường để lại thương tật nặng nề, đa số phải cắt cụt chi thể. Do vậy, người dân cần thận trọng khi sử dụng bình gas. Nên chọn và mua các loại bình gas, bếp gas có nguồn gốc xuất xứ rõ ràng, không nên mua và sử dụng các sản phẩm trôi nổi tiềm ẩn nhiều nguy cơ.
Không nên sử dụng bếp và bình gas mini cũ, nếu bếp gas đã bị tróc sơn, han gỉ, chốt bình gas lỏng hay bếp rất khó đánh lửa, phải tốn sức "mồi" nhiều lần mới được thì tốt nhất không nên sử dụng bởi những bếp gas như thế này rất dễ bị rò rỉ gas ra bên ngoài, gây cháy nổ.
