Chia sẻ với truyền thông, người đàn ông cho biết đã tới một bệnh viện để tiến hành phẫu thuật loại bỏ khối u. Tuy nhiên, 6 ngày sau đó, ông thường xuyên gặp khó khăn trong việc nuốt thức ăn và nhận thấy miệng chảy máu.
Sau khi tới bệnh viện kiểm tra, bệnh nhân 72 tuổi này đã được kê đơn thuốc súc miệng, thuốc kháng sinh và steroid, do các bác sĩ nhận định, những triệu chứng của ông là tác dụng phụ của việc đặt nội khí quản trong khi phẫu thuật, dẫn tới nhiễm trùng đường hô hấp.
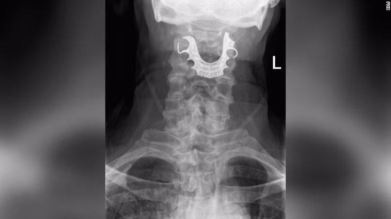
![]() |
| Hình ảnh hàm răng giả nằm trong thanh quản bệnh nhân |
Tuy nhiên, chỉ 2 ngày sau, tình trạng của người đàn ông ngày một tệ hơn khi không thể nuốt bất kỳ một thứ gì. Sau khi kiểm tra, các bác sĩ đã phát hiện một vật thể hình bán nguyệt nằm ngang thanh quản của người đàn ông, gây sưng tấy bên trong.
Người đàn ông 72 tuổi tiết lộ, răng giả của ông "đã bị mất sau khi nhập viện phẫu thuật” vào 8 ngày trước đó. Ngay sau đó, bệnh nhân đã được tiến hành phẫu thuật khẩn cấp để loại bỏ bộ răng giả và được xuất viện sau 6 ngày.
![]() |
| Đây không phải trường hợp đầu tiên nuốt phải răng giả |
Các chuyên gia cho biết, đây không phải là trường hợp đầu tiên nuốt phải răng giả trong khi bị gây mê: "Không có hướng dẫn nào về cách xử lý răng giả trong quá trình gây mê. Tuy nhiên, nhiều bệnh viện đã cho phép bệnh nhân tháo răng giả ngay trước khi đặt nội khí quản".

