Nguyên nhân bất ngờ của thanh niên bị ho ra máu

GD&TĐ - Tuỳ vào giai đoạn phát triển của bệnh cũng như các bệnh lý nền kèm theo mà mỗi người bệnh lại xuất hiện những triệu chứng khác nhau. 

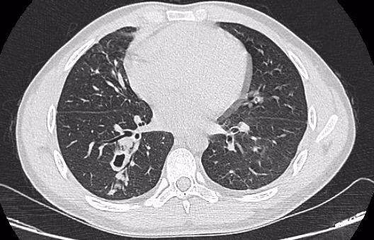
Hình ảnh phim chụp cắt lớp phổi của bệnh nhân sán lá phổi. Ảnh: BVCC.
Hình ảnh phim chụp cắt lớp phổi của bệnh nhân sán lá phổi. Ảnh: BVCC.

Vừa qua, Bệnh viện Đa khoa Đức Giang tiếp nhận nam thanh niên quê ở Sơn La có các triệu chứng mệt mỏi, ho nhiều, ho ra máu, đi khám ở nhiều nơi không ra bệnh. Sau khi đến, các bác sĩ phát hiện, bệnh nhân nhiễm sán lá phổi.

Sán lá phổi là gì?

Theo các bác sĩ tại Bệnh viện Đa khoa Đức Giang, sán lá phổi có rất nhiều loài khác nhau (hơn 40 loài). Có 2 loài thuộc nhóm sán lá phổi có mức độ gây hại nhất đó chính là Paragonimus heterotremus và Paragonimus westermani.

Các loài sán lá phổi này thường có kích thước khá lớn, độ dài khoảng 8 - 16mm và có hình dáng như hạt cà phê, màu hơi hồng hoặc đỏ bã trầu, vỏ sán có gai nhỏ, mạng lưới ống ruột ngoằn ngoèo,... có thể nhìn thấy rõ bằng mắt thường những con sán đã trưởng thành.

san1.jpeg
Hình ảnh trứng sán lá phổi trong đờm của bệnh nhân. Ảnh: BVCC.

Nguyên nhân mắc bệnh sán lá phổi

Do thói quen sinh hoạt, người dân ở một số tỉnh miền núi phía Bắc như Điện Biên, Lai Châu, Sơn La... có tập quán ăn món tôm, cua sống (ăn gỏi hoặc nướng chưa chín).

Khi ăn phải tôm, cua có ấu trùng sán lá phổi chưa nấu chín, ấu trùng sán vào dạ dày và ruột (ấu trùng thoát nang ở tá tràng), xuyên qua thành ống tiêu hóa vào ổ bụng rồi xuyên qua cơ hoành và màng phổi vào nhu mô phổi rồi làm tổ ở đó.

Một số ít cư trú tại tim, phúc mạc, gan, thận, dưới da, ruột, não...

Sán chủ yếu ký sinh trong phổi, làm nang trong tiểu phế quản nhỏ của phổi người hay súc vật. Trong mỗi nang hầu hết có 2 con và dịch mủ màu đỏ, xung quanh có mạch máu tân tạo. Trứng sán có màu nâu sẫm, hình bầu dục, bên trong có chứa phôi.

Triệu chứng mắc sán lá phổi

Tùy thuộc vào giai đoạn phát triển của bệnh cũng như các bệnh lý nền kèm theo mà mỗi người bệnh lại xuất hiện những triệu chứng khác nhau. Tuy nhiên, vẫn có những triệu chứng xuất hiện do bệnh sán lá phổi điển hình.

Hầu hết các trường hợp bị bệnh đều có như:

- Rối loạn tiêu hóa thường là triệu chứng ban đầu của bệnh: Ngay sau khi nhiễm phải các loại ấu trùng sán thông qua việc ăn uống thì người bệnh sẽ có hiện tượng bị đau bụng dẫn tới tiêu chảy.

- Ở giai đoạn ấu trùng sán lá phổi đã di chuyển từ dạ dày lên đến vùng phổi thì người bệnh sẽ có triệu chứng tràn khí màng phổi hoặc tràn dịch màng phổi.

- Khi sán đã ký sinh tại phổi và sinh sản, bệnh nhân sẽ xuất hiện nhiều triệu chứng rõ hơn, đặc biệt ảnh hưởng đến hệ hô hấp: Ho kéo dài, ho khạc đờm có kèm máu, đau tức ngực, sốt nhẹ, cơ thể dần yếu ớt, khả năng hô hấp bị hạn chế,...

Một vài trường hợp có những triệu chứng bệnh khá phức tạp sẽ bị chẩn đoán nhầm giữa sán lá phổi với bệnh lao phổi.

Tin tiêu điểm

Đừng bỏ lỡ