Đi khám răng, người đàn ông bị chỉ định nhổ cả hàm vì sai lầm 2 năm trước

Bác sĩ quyết định phải nhổ tất cả răng của anh để tránh tình trạng bệnh nghiêm trọng hơn.

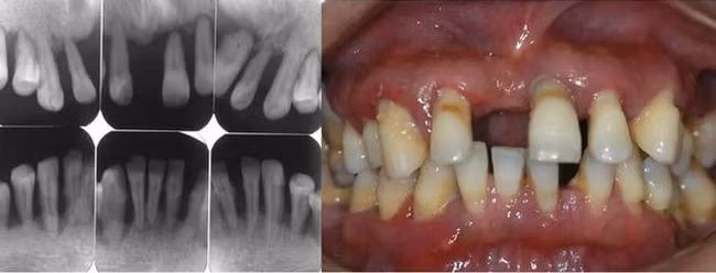
Cách đây 2 năm, Tiểu Trần (tên bệnh nhân đã được thay đổi) đã đến gặp bác sĩ với tình trạng sưng và đau nướu. Khi đó cậu được chẩn đoán là bị bệnh nha chu. Nghĩ rằng mình "ổn", bệnh viêm nha chu không có gì đáng ngại, Tiểu Trần đã từ chối điều trị.

Sáu tháng trở lại đây, thấy răng bị lung lay, kèm theo tình trạng chảy máu khi đánh răng và sưng đau nướu nhiều lần, uống thuốc kháng viêm không thuyên giảm, Tiểu Trần đã đi khám lại.

Bác sĩ điều trị cho anh nói rằng răng anh lung lay như vậy là do xương ổ răng gần như không còn được bọc chắc chắn nữa. Bác sĩ quyết định phải nhổ tất cả răng của anh để tránh tình trạng bệnh nghiêm trọng hơn.

Người đàn ông 31 tuổi đi khám vì răng lung lay, nhưng bác sĩ lại nhổ tất cả răng vì sai lầm từ 2 năm trước của anh - Ảnh 1.

Bệnh nha chu phá hủy không chỉ nụ cười của bạn mà vi khuẩn gây bệnh nha chu còn xâm nhập vào máu, gây ra nhiều bệnh nguy hiểm khác.

Ngoại trừ một số ít trường hợp viêm nha chu có liên quan đến bệnh lý di truyền và không phải do vôi răng gây ra, hầu hết các bệnh viêm nha chu khác về cơ bản đều khởi phát do vôi răng, đặc biệt là vôi răng dưới nướu.

Có một số nhóm người dễ bị nhiễm bệnh bao gồm: phụ nữ mang thai, người hút thuốc, bệnh nhân tiểu đường và người có răng giả.

Bệnh nha chu là gì?

Bệnh ở các mô xung quanh răng được gọi là bệnh nha chu. Các mô nha chu bao gồm: dây chằng nha chu bao bọc chân răng, xương ổ răng và nướu bên ngoài.

Mô nha chu giống như "nền móng" mà chúng ta thường nói, cố định chắc chắn răng trong xương hàm để răng có thể nhai thức ăn một cách khó khăn.

Hiểu một cách đơn giản, bệnh nha chu là bệnh làm mất đi "nền tảng" của răng, là bệnh lý răng miệng gây mất răng chủ yếu ở người lớn.

Bệnh nha chu phát triển như thế nào

Các bệnh nha chu thường gặp bao gồm: Viêm nướu và viêm nha chu. Giữa viền nướu và bề mặt răng có một khe hở lợi nông, cặn thức ăn và mảng bám dễ tích tụ trong khe nướu.

Vi khuẩn kỵ khí phát triển và sinh sôi ở đây do không dễ dàng vệ sinh, từ đó thường dẫn đến viêm nha chu. Ngoài ra, việc vệ sinh dưới các điểm lân cận của răng cũng khó khăn, dễ gây bệnh nha chu.

Người đàn ông 31 tuổi đi khám vì răng lung lay, nhưng bác sĩ lại nhổ tất cả răng vì sai lầm từ 2 năm trước của anh - Ảnh 3.
Sự nguy hiểm của bệnh nha chu

Bệnh nha chu không chỉ là bệnh của răng miệng mà nó còn có thể tác động tới sức khỏe nói chung. Nếu viêm nướu không được điều trị, mảng bám tích tụ trong nướu sẽ gây kích ứng và làm tổn thương các mô nâng đỡ nha chu như dây chằng nha chu, lâu ngày có thể gây viêm nha chu dẫn đến tiêu xương ổ răng và gây bệnh nha chu.

Một khi xương ổ răng bị phá hủy, răng sẽ dần bị lỏng lẻo và xê dịch do mất đi phần nâng đỡ, và cuối cùng sẽ bị rụng.

Người đàn ông 31 tuổi đi khám vì răng lung lay, nhưng bác sĩ lại nhổ tất cả răng vì sai lầm từ 2 năm trước của anh - Ảnh 4.
Những dấu hiệu cảnh báo khả năng bạn đang mắc bệnh nha chu:

1. Chảy máu nướu khi đánh răng hoặc cắn vật cứng;

2. Hôi miệng dai dẳng, nướu sưng đau, sưng tấy;

3. Chân răng bị lộ hoặc nướu bị sưng tấy, chảy mủ;

4. Khoảng cách giữa các răng lớn dần lên;

5. Răng lung lay và dịch chuyển hoặc ăn nhai yếu;

6. Răng lung lay hoặc thậm chí rụng.

Nếu phát hiện các triệu chứng trên, bạn hãy đến cơ sở nha khoa chuyên nghiệp để khám và điều trị càng sớm càng tốt nhé!

Người đàn ông 31 tuổi đi khám vì răng lung lay, nhưng bác sĩ lại nhổ tất cả răng vì sai lầm từ 2 năm trước của anh - Ảnh 5.
Biện pháp phòng bệnh nha chu

- Chú ý đến vệ sinh răng miệng và phát triển thói quen vệ sinh tốt: Cần chú ý đánh răng buổi sáng và trước khi đi ngủ, súc miệng sau bữa ăn, hiểu và nắm vững phương pháp chải răng đúng cách.

- Chú ý theo dõi các dấu hiệu ban đầu của bệnh nha chu: Những người có người thân trong gia đình bị lung lay sớm cần phải cảnh giác.

Nếu bị chảy máu nướu khi đánh răng, ăn uống thì cần lưu ý càng sớm càng tốt, vì đây là biểu hiện của viêm nha chu, cần đến bệnh viện chẩn đoán và điều trị càng sớm càng tốt để kiểm tra tình trạng vôi răng dưới nướu và tình trạng tụt nướu.

- Xây dựng thói quen kiểm tra miệng thường xuyên: Với trẻ nhỏ, khi phát hiện một vài răng lung lay, lệch lạc cần đến bệnh viện kịp thời để phát hiện sớm, chẩn đoán sớm và điều trị sớm.

Theo Pháp luật và bạn đọc

Tin tiêu điểm

Đừng bỏ lỡ

Ban nhạc Trường THPT Phan Huy Chú biểu diễn tại chung khảo Liên hoan các ban nhạc học sinh Hà Nội. Ảnh: Vân Anh

Âm nhạc nuôi dưỡng tâm hồn học trò

GD&TĐ - Hiện thực hóa mục tiêu giáo dục toàn diện “Đức - Trí - Thể - Mỹ”, ngành Giáo dục Hà Nội đang đưa âm nhạc và nghệ thuật trở thành một phần sống động trong môi trường học đường.

Khán giả đến xem và cổ vũ cho buổi diễn thi Liên hoan Tuồng và dân ca kịch. Ảnh: Miên Thảo

Café ngày mới: Ước mong sau liên hoan

GD&TĐ - Trong khoảng hai tháng qua, có 2 liên hoan sân khấu toàn quốc cho các loại hình: Chèo, tuồng và dân ca kịch lần lượt diễn ra ở Bắc Ninh và Hà Nội.

Nghệ sĩ trẻ cần có 'đất diễn' để sáng tạo và gắn bó với nghề. Ảnh minh họa: Bình Thanh

Thầy già, con hát cũng già!

GD&TĐ - Nhiều ý kiến bày tỏ sự lo lắng trước thực trạng thầy già, con hát cũng già, nhất là đối với sân khấu truyền thống.

Binh sĩ Nga trên một con phố ở Seversk.

Chờ đợi trận chiến quyết định

GD&TĐ - Chiến dịch mùa đông đã khởi đầu thuận lợi cho quân đội Nga. Sau khi kiểm soát Krasnoarmeysk, đối phương đã bị quân Nga đánh bật khỏi Seversk.