Cậu bé gỡ bỏ 232 cái răng

Các bác sĩ tại Bệnh viện JJ đã tìm thấy 232 chiếc răng trong miệng một cậu bé 17 tuổi, và thực hiện gỡ bỏ trong một ca phẫu thuật kéo dài hơn sáu giờ.
Bộ phận nha khoa của bệnh viện đã quyết định chuyển tiếp trường hợp này vào sách kỷ lục Guinness cho số lượng chiếc răng nhiều nhất từ trong miệng của một cá nhân.
Ashiq được chẩn đoán mắc một tình trạng gọi là odontoma composite hoặc một khối u lành tính của răng, có thể gây khó khăn trong việc ăn uống, nuốt, và dẫn đến sưng trên khuôn mặt. Sau đó các bác sĩ đã đã được tìm thấy khối u sâu trong hàm dưới và đã lấy ra hơn 232 chiếc răng.
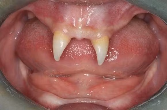
Mọc răng ma cà rồng

Một cậu bé Trung Quốc đã mọc 2 chiếc răng sắc nhọn ở hàm trên như ma cà rồng. Trong tháng 12/2012, mẹ Wang Hui đưa con trai Wang Pengfei, 16 tuổi, đến một bệnh viện địa phương để kiểm tra y tế. Cậu bé đến từ thành phố Trùng Khánh, phía tây nam Trung Quốc, có rất ít tóc lúc mới sinh và chỉ có hai chiếc răng nanh sắc nhọn trong miệng.
Răng nằm trong khối u ở não

Một đứa trẻ sơ sinh 4 tháng tuổi ở Maryland có thể là người đầu tiên có răng hình thành trong não. Các bác sĩ đã nghi ngờ rằng có một cái gì đó sai lệch khi đầu cậu bé dường như phát triển nhanh hơn những đứa trẻ khác trong độ tuổi của mình.
Một máy quét não cho thấy một khối u chứa các cấu trúc trông rất giống với răng thường được tìm thấy ở hàm dưới. Khối u đã được đã được gỡ bỏ và cậu bé hiện tại đang được phục hồi sức khỏe.

Trong suốt ba năm liền, người thanh niên 22 tuổi (được giấu tên) phải chịu ít nhất một lần máu mũi chảy bất thường mỗi tháng. Sau khi đi đến bệnh viện khám, các bác sĩ bất ngờ phát hiện một chiếc răng mọc bên trong lỗ mũi của anh.
Báo cáo nghiên cứu do tạp chí Case Reports được xuất bản ở Mỹ cho biết, đây là một chiếc răng khôn, thay vì mọc trong miệng thì nó lại nổi lên ở lỗ mũi gây nên hiện tượng chảy máu mũi.
Bác sĩ John Hellstein, một trong những tác giả của bài nghiên cứu, giải thích rằng mặc dù hiếm gặp nhưng những chiếc răng khôn có thể phát triển gần răng cửa và trong một số trường hợp những chiếc răng khôn này có thể phát triển thẳng đứng lên phía mũi.