Câu chuyện cảm động về tình mẫu tử của người mẹ trẻ với đứa con được chẩn đoán mắc hội chứng Down đang thu hút sự quan tâm của đông đảo cư dân mạng, đặc biệt là hội các mẹ bỉm sữa.
Bởi hơn ai hết, người phụ nữ với thiên chức cao cả nhất là mang thai và sinh con sẽ đồng cảm và hiểu hơn về hoàn cảnh cũng như quyết định hy sinh vì tình yêu dành cho con là như thế nào.
Jessica Egan và chồng cô sau nhiều lần thụ thai tự nhiên không thành công đã phải tìm đến sự can thiệp của y học và quyết định thụ tinh nhân tạo để tìm kiếm cơ hội mang thai và có con. Sau 2 lần thụ tinh thì vợ chồng Jessica đón nhận tin vui, cô đã mang thai.
Tuy nhiên, niềm vui chưa kéo dài bao lâu thì đến tuần thứ 11, người mẹ trẻ bàng hoàng khi bác sĩ báo tin con gái bé nhỏ của vợ chồng cô dương tính với hội chứng Down, dư thừa nhiễm sắc thể số 21.
Mất 3 ngày đắm chìm trong nước mắt và tuyệt vọng, vợ chồng cô đã quyết định phải tìm hiểu về căn bệnh này để tiếp tục sinh con và giúp con có cuộc sống bình thường như bao đứa trẻ khác.




Đó có thể là một quyết định táo bạo và có phần nguy hiểm, nhưng với tình yêu thương con thì không gì là không thể. Jessica và chồng đã tham gia vào tổ chức Hội những người mắc Down tại quê nhà và tìm hiểu thêm thông tin về căn bệnh này.
Jessica cho hay: "Với tỉ lệ 1/700 trẻ sinh ra mắc hội chứng Down tại nơi tôi sinh sống, và tại Úc là 1/1100 trẻ, thì đây hoàn toàn không phải là căn bệnh quá hiếm gặp. Tuy nhiên, chính bản thân tôi cũng chưa từng gặp và tiếp xúc với đứa trẻ nào bị bệnh nên kiến thức của tôi gần như là con số 0".
Vượt qua giai đoạn khó khăn, người mẹ trẻ sau 9 tháng 10 ngày đã đón con gái bé bỏng đến với cuộc sống và được bế con trên tay trong niềm hạnh phúc vô bờ.
"Có thêm cặp nhiễm sắc thể thì sao chứ, mọi người hãy nhìn con đi, con rất xứng đáng được chào đời và hưởng cuộc sống tươi đẹp này như bao đứa trẻ khác", Jessica tự hào khoe ảnh con gái 2 tháng sau sinh.
Với vẻ ngoài xinh xắn, đôi mắt có hồn đáng yêu, người mẹ trẻ tin rằng con sẽ là một cô gái dễ thương và lanh lợi như bất cứ đứa trẻ bình thường nào.
Jessica chia sẻ thêm: "Con gái tôi hiện vẫn đang phát triển bình thường, tuy nhiên vì đây là đứa con đầu lòng lại mắc thêm hội chứng Down nên tôi vẫn còn khá bỡ ngỡ với các cột mốc phát triển của một em bé.
Tôi chỉ muốn nói với các ông bố bà mẹ rằng khi chúng ta phát hiện con bị Down, đừng vội nản lòng, chỉ là con khác với những đứa trẻ khác mà thôi. Mà mỗi đứa trẻ là một cá thể hoàn toàn khác nhau, chúng ta hãy chấp nhận sự khác biệt của con, giúp con có cuộc sống tốt hơn thay vì đau buồn và tuyệt vọng".






Những bức hình xúc động của bé gái mắc hội chứng Down hiện đang thu hút hơn 347 nghìn lượt yêu thích và con số này vẫn đang tiếp tục tăng dần. Rất nhiều bậc cha mẹ đã bày tỏ sự xúc động và cảm ơn về bài chia sẻ thấm đẫm tình mẫu tử của một bà mẹ trẻ.
- Rất nhiều em bé với Hội chứng Down đã lớn lên và có cuộc sống bình thường, hạnh phúc. Nhưng có một điều chắc chắn rằng con đang có một người mẹ yêu và thương con hơn tất thảy, sẽ sẵn sàng ở bên và giúp con sống tốt hơn.
- Thực ra tôi nghĩ những đứa trẻ mắc Down lại may mắn đấy chứ, bởi con có một điều gì đó mà những cái xấu không thể chạm tới được, ngoại trừ tình yêu thương.
- Có thể bây giờ con chưa hiểu hết nhưng có một điều chắc chắn rằng con chính là một người bạn mà Chúa đã ban tặng cho cuộc sống đầy màu sắc này.



Hội chứng Down và những điều cha mẹ cần biết
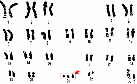
Hội chứng Down là một hội chứng bệnh do đột biến số lượng nhiễm sắc thể, mà cụ thể là thừa một nhiễm sắc thể 21. Hội chứng này thường gặp nhất trong số các bệnh do rối loạn nhiễm sắc thể.
Bình thường, con người có 23 cặp nhiễm sắc thể khác nhau, tức là 46 nhiễm sắc thể, tồn tại thành từng cặp trong nhân tế bào, mỗi nhiễm sắc thể lại mang các gen cần thiết cho sự phát triển bình thường của cơ thể. Một nửa số này được thừa hưởng từ cha, nửa kia được thừa hưởng từ mẹ. Nhưng với trẻ bị Down thì lại có tới 47 nhiễm sắc thể, tức là có thêm một nhiễm sắc thể 21. Và chính nhiễm sắc thể số 21 này là thủ phạm gây bệnh.

Hội chứng Down là một hội chứng bệnh do đột biến số lượng nhiễm sắc thể, mà cụ thể là thừa một nhiễm sắc thể 21
Các gen nằm trên một bản sao thừa ra của nhiễm sắc thể số 21 là nguyên nhân gây ra các đặc điểm của hội chứng Down. Nhiễm sắc thể thừa này làm cho mỗi gene sản sinh ra nhiều protein hơn bình thường, dẫn đến suy yếu trong cả khả năng nhận thức cũng như phát triển thể chất.
Trẻ mắc bệnh Down sẽ có những dấu hiệu thể chất điển hình mà cha mẹ dễ dàng nhận thấy như:
- Khuôn mặt dẹt, đầu và tai nhỏ, hình dáng bất thường
- Mắt xếch, hướng lên trên
- Mũi nhỏ và tẹt
- Gáy rộng, phẳng
- Cổ ngắn, vai tròn
- Miệng trề, lưỡi phình to, dày thè ra ngoài
- Cơ và dây chằng yếu
- Thiểu năng trí tuệ, nhận thức kém,
- Khả năng tập trung kém, hành vi bốc đồng
Ngoài ra, trẻ mắchội chứng Down thường có những vấn đề sức khỏe liên quan như bệnh tim mạch, đường ruột, suy giảm thính giác, thị giác, gia tăng nguy cơ bệnh bạch cầu và bệnh tuyến giáp, táo bón mãn tính, béo phì, chậm mọc răng, mất trí nhớ.
Bất cứ bà mẹ nào cũng có nguy cơ sinh con bị Down song với những bà mẹ trên 35 tuổi, nguy cơ sinh con mắc hội chứng này tăng cao hơn đáng kể. Tuổi mẹ càng cao thì nguy cơ sinh con mắc chứng Down càng lớn.
Nếu con bị Down, mẹ nên đảm bảo rằng con được chăm sóc sức khỏe chu đáo và hưởng sự giáo dục đầy đủ. Nhiều trẻ bị bệnh Down vẫn có thể lớn lên khỏe mạnh, làm việc như nhiều người bình thường khác nếu được hỗ trợ đúng cách và kịp thời.