Ngày 19/9, thông tin từ Bệnh viện Đa khoa Xuyên Á Long An, cụ ông P.V.C (86 tuổi, ngụ Tây Ninh) nhập cấp cứu tình trạng đau bụng dữ dội, bụng chướng căng và khó thở.
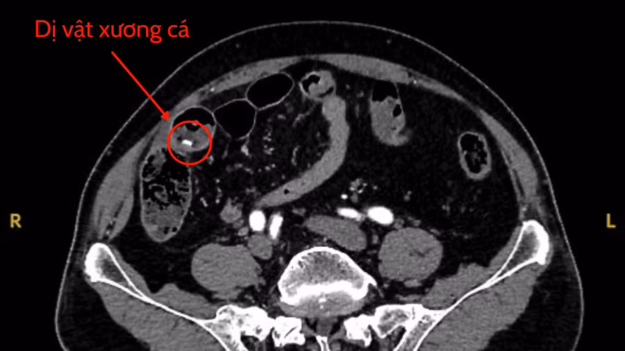
Kết quả chẩn đoán hình ảnh ghi nhận một dị vật cản quang dài khoảng 4cm xuyên thủng thành ruột non, gây viêm phúc mạc toàn thể, một tình trạng nhiễm trùng nguy hiểm.
BS.CKII Nguyễn Vũ An - Trưởng khoa Ngoại tổng quát nhận định đây là ca bệnh nguy cấp, ekip khoa tiến hành phẫu thuật khẩn cấp. Trong quá trình mổ, các bác sĩ phát hiện một mẩu xương cá đâm thủng ruột non.
Ngay lập tức, dị vật được lấy ra. Đồng thời, các bác sĩ tiến hành cắt bỏ đoạn ruột bị tổn thương và khâu nối lại. Sau một tuần điều trị tích cực, sức khỏe cụ ông hồi phục tốt, ăn uống bình thường và được xuất viện.

Theo BS An, hóc xương cá là tai nạn thường gặp nhưng có thể gây hậu quả nghiêm trọng, thậm chí tử vong nếu không được xử trí kịp thời. Nhiều người vẫn chủ quan, tự xử lý bằng cách nuốt cơm, đây là quan niệm sai lầm vì có thể khiến dị vật cắm sâu hơn, gây biến chứng nặng.
“Người dân, đặc biệt là người cao tuổi và trẻ nhỏ, cần cẩn trọng khi ăn cá. Khi có dấu hiệu bất thường như đau bụng kéo dài sau khi ăn, cần đến ngay cơ sở y tế để được thăm khám kịp thời”, BS An khuyến cáo.