Theo thông tin từ Bệnh viện Đa khoa Thanh Vũ Medic Bạc Liêu, trước đó (vào lúc 11h00 ngày 24/3), Khoa cấp cứu Bệnh viện Đa khoa Thanh Vũ Medic Bạc Liêu đã tiếp nhận bệnh nhân nam N.C.H (40 tuổi, ngụ tại xã Mỹ Thành, Thị xã Ngã Năm, tỉnh Sóc Trăng), vào nhập viện với tình trạng đau bụng đột ngột dữ dội.
Theo bệnh nhân cho biết, bản thân không có tiền sử bệnh nền, nhưng 2 tháng gần đây thấy bị sụt cân, đi ngoài phân lỏng, cứ nghĩ là bình thường nên không đi khám. Đến ngày 24/3, bệnh nhân thấy đau bụng đột ngột, cơn đau lan khắp bụng và đau càng nhiều nên người nhà đưa đến Bệnh viện Đa khoa Thanh Vũ để điều trị.
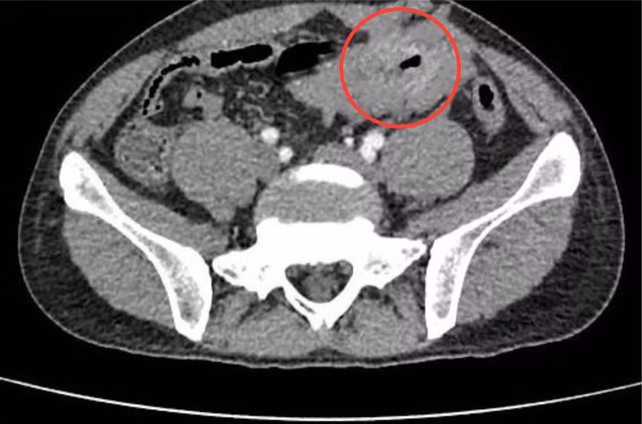
Qua thăm, khám sàng lọc kỹ lưỡng và thực hiện các cận lâm sàng cần thiết, các bác sĩ chuyên khoa ghi nhận người bệnh có một khối u GIST ruột non kích thước 3x5 cm đã có biến chứng thủng khối u gây viêm phúc mạc cấp ổ bụng.
Đồng thời, bệnh nhân được ê kíp bác sĩ ngoại tổng quát tiến hành phẫu thuật nội soi để cắt trọn khối u, sau đó tiến hành nối lại ruột non phục hồi lưu thông ruột cho bệnh nhân trở lại bình thường và lấy u làm giải phẫu bệnh.
Theo đó, ca phẫu thuật diễn ra trong vòng 90 phút, hiện tại hậu phẫu tình trạng bệnh tỉnh, sinh hiệu ổn, tiếp xúc tốt, không còn đau bụng. Dự kiến bệnh nhân xuất viện trong vài ngày tới.

Hình phẫu thuật nội soi u GIST ruột non. Nguồn: BV.
Theo Bác sĩ CKI Dương Hải Minh - Trưởng khoa ngoại Lồng ngực - Mạch máu và Tổng Quát, phẫu thuật viên chính của ca mổ (Bệnh viện Đa khoa Thanh Vũ Medic Bạc Liêu), đây là trường hợp bị viêm phúc mạc cấp do thủng khối u GIST ruột non, nếu không phẫu thuật kịp thời sẽ bị sốc nhiễm trùng, gây nguy hiểm đến tính mạng người bệnh.

Bác sĩ CKI Dương Hải Minh - Trưởng khoa ngoại Lồng ngực - Mạch máu và Tổng Quát kiểm tra vết mổ của bệnh nhân. Nguồn: BV.
Qua trường hợp trên, Bác sĩ CKI Dương Hải Minh, đưa ra khuyến cáo: U GIST ruột non hay còn gọi là u mô đệm đường tiêu hóa, là một loại u hiếm gặp có nguồn gốc từ hệ tiêu hóa, thường là lành tính, tuy nhiên khi khối u GIST càng lớn khả năng ung thư hóa càng cao.
Cách duy nhất để xác định xem GIST có phải là ung thư hay không là tiến hành phẫu thuật cắt bỏ rồi làm giải phẫu bệnh. Bệnh thường không có triệu chứng đặc trưng, khó nhận biết, đặc biệt là trong giai đoạn đầu.
Vì thế, người dân cần quan tâm thăm khám sức khỏe thường xuyên, nếu thấy có các biểu hiện như: Đau bụng, cảm giác đầy bụng, mệt mỏi, chán ăn, sụt cân, tiêu chảy có lẫn máu,… người bệnh cần phải đến bệnh viện ngay để được các bác sĩ chẩn đoán và điều trị kịp thời.