GD&TĐ - Trường Đại học Công nghệ TPHCM (HUTECH) vừa tổ chức Lễ khai mạc và vòng Sơ loại cuộc thi “Thiết kế mô hình cơ thể học Thú y lần thứ 3” năm 2024.
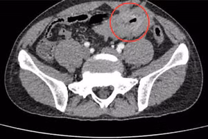
GD&TĐ - Bệnh viện Đa khoa Thanh Vũ Medic Bạc Liêu vừa tiếp nhận và phẫu thuật nội soi thành công bệnh nhân bị viêm phúc mạc cấp do thủng khối u GIST ruột non hiếm gặp.