Bệnh nhân Nguyễn Q.B. (37 tuổi) trú tại tỉnh Phú Thọ nhập viện trong tình trạng đau đầu, dùng thuốc kéo dài không hiệu quả. Khai thác nhanh bệnh sử, người nhà bệnh nhân cho biết anh B. đã đau đầu nhiều tháng nay, do chủ quan không thăm khám luôn mà chỉ uống thuốc.
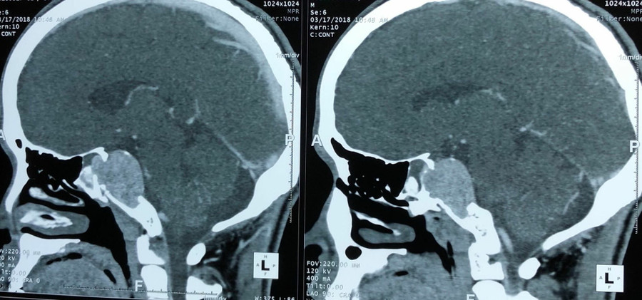
Đến khi không thấy có dấu hiệu thuyên giảm, bệnh nhân có biểu hiện đau đầu thường xuyên hơn thì mới nhập viện. Sau khi khám, chụp cộng hưởng và làm các chỉ định tại bệnh viện K, kết quả cho thấy có khối u não nền sọ vùng dốc nền có kích thước lớn 3 x 4cm.
| Phim chụp khối u | 
Sau khi hội chẩn cùng các chuyên gia ung bướu trong bệnh viện, các bác sĩ nhận định đây là ca mổ phức tạp vì khối u lớn liên quan đến nhiều chức năng quan trọng như: thân não, mạch máu não, tuyến yên, và ở đáy sọ. Việc lựa chọn đường mổ phải được tính toán kỹ lưỡng nhằm đảm bảo lấy tối đa khối u và an toàn cho người bệnh.
Bác sĩ Nguyễn Đức Liên, Trưởng khoa Ngoại thần kinh, bệnh viện K cho biết “Nếu phẫu thuật theo phương pháp kinh điển bằng phương pháp mở nắp hộp sọ hoặc mổ qua đường mũi, mồm bằng kính vi phẫu sẽ gặp nhiều vấn đề như teo toàn bộ cơ thái dương, ảnh hưởng tê bì vùng mặt, khô giác mạc, khả năng teo cơ, mặt biến dạng, tỷ lệ biến chứng khi sử dụng phương pháp này thường khá cao. Trong khi đó, phương pháp mổ nội soi qua đường mũi lại tỷ lệ biến chứng thấp, tiết kiệm thời gian, chi phí và bệnh nhân cũng có thể phục hồi nhanh”.
Ngày 10/4, ekip phẫu thuật gồm TS.BS Nguyến Đức Liên, Trưởng khoa Ngoại thần kinh cùng 2 bác sĩ Ths.Bs Phạm Gia Dự, BS Nguyễn Minh Thuận và ekip gây mê hồi sức bệnh viện K đã tiến hành phẫu thuật nội soi lấy khối u não qua đường mũi cho bệnh nhân. Phương pháp này cho phép phẫu thuật viên tiếp cận khối u hay những thương tổn khác mà không phải rạch da, không tỳ đè vào các cấu trúc não lành, mạch máu, dây thần kinh.
Ngoài ra các bác sĩ sẽ đánh giá được đầy đủ các cấu trúc lành xung quanh thương tổn, hình ảnh rõ nét, giúp kiểm soát chi tiết mọi thao tác trong quá trình phẫu thuật, trường mổ rộng, ít làm tổn thương các cấu trúc lành, ít biến chứng.
Với sự chuẩn bị hết sức kỹ càng, phẫu tích tỉ mỉ, các bác sĩ khoa Ngoại thần kinh đã thực hiện thành công ca phẫu thuật kéo dài suốt 4 giờ. Khối u được loại bỏ hoàn toàn mà không làm tổn thương cấu trúc não và động mạch cũng như các dây thần kinh sọ, không để lại sẹo mổ trên da đầu. Sau mổ 1 ngày bệnh nhân tỉnh táo, tiếp xúc tốt.
 
  
  
   
   
   
   
   
   
   
   
   
   
   
   
   
   
   
   
   
   
   
   
   
   
   
   
   
   
   
   
   
   
   
   
   
  