Rùng mình trước những tai nạn niềng răng đáng sợ trên thế giới

GD&TĐ - Niềng răng là một kỹ thuật vô cùng khó nên khả năng xảy ra thất bại là không hề nhỏ. Sau đây là những tai nạn niềng răng đáng sợ trên thế giới đã xảy ra khiến chúng ta phải rùng mình.

Rùng mình trước những tai nạn niềng răng đáng sợ trên thế giới

Suýt chết vì niềng răng quá chặt

Leah Kitchen, 15 tuổi ở Anh đã bị sốt cao, ớn lạnh, nhức đầu, đau khớp và đau cơ bắp sau khi niềng răng khoảng một tuần. Sau khi đến bệnh viện khám, bác sĩ cho rằng cô chỉ bị cúm và chỉ kê các loại thuốc thông thường. Tuy nhiên, dù uống hết thuốc, các triệu chứng trên không những không hết mà bệnh nhân còn có những hành động bất thường và mất trí nhớ, đồng thời bị đột quỵ nhẹ 2 lần.

niềng răng, tai nạn niềng răng, tai nạn niềng răng đáng sợ trên thế giới

Đây là một trong những tai nạn niềng răng đáng sợ

Khi đến xét nghiệm ở một bệnh viện khác, kết quả cho thấy Leah đang bị viêm ở bề mặt nội mạc tim do nhiễm khuẩn. Nguyên nhân do một miếng kim loại từ niềng răng đã lọt vào tim. Sau phẫu thuật, Lead đã bình phục khoảng 90% nhưng vẫn phải thường xuyên đến bệnh viện để kiểm tra.

Viêm nội tâm mạc là loại bệnh do vi khuẩn vào máu và đến tim gây ra nhiễm trùng, nếu không chữa trị kịp thời có thể dẫn đến suy tim gây tử vong. Triệu chứng này thường phát triển khá chậm qua nhiều tuần với các triệu chứng giống như cúm thông thường: đau đầu, mệt mỏi, ớn lạnh, đau họng, giảm cân không rõ lý do, da tái xanh, đau cơ, đau khớp.

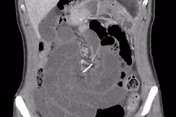
 Nhập viện cấp cứu do sợi kim loại từ niềng răng kẹt trong bụng suốt 10 năm

Một người phụ nữ 30 tuổi ở Úc đã phải nhập viện khi bị đau bụng dữ dội. Ban đầu, các bác sĩ chẩn đoán rằng, người phụ nữ này có thể có sỏi mật hoặc bị một mảnh xương cá chặn ngang ống mật. Tuy nhiên, kết quả chụp CT cho thấy một sợi dây kim loại mảnh dài 7cm đã đâm thủng ruột non của người bệnh ở nhiều chỗ. Do bị đâm vào nhiều chỗ, ruột non của người phụ nữ này đã bị xoắn xung quanh, gây ra hiện tượng được gọi là xoắn ruột non. Điều này cộng với nỗi đau cực độ mà người bệnh phải trải qua khiến các bác sĩ phải đưa ra quyết định là phẫu thuật.

niềng răng, tai nạn niềng răng, tai nạn niềng răng đáng sợ trên thế giới

Suốt 10 năm kể từ ngày niềng răng, người phụ nữ này không nhớ mình đã nuốt sợi dây kim loại hay mảnh kim loại nào ở chiếc niềng răng. Được biết, người phụ nữ sau đó đã hồi phục hoàn toàn sau ca cấp cứu và không gặp những tổn thương phụ khác.

Dị ứng với niềng răng

Kennedy Odom, 16 tuổi đã bị ốm và sốt cao thậm chí không thể đi học sau nhiều tháng niềng răng. Không những thế, miệng cô đau đớn và đầy mụn nước, không thể ăn vì đau dữ dội khi nhai nuốt. Khi đi khám, các bác sĩ cho rằng cô bé bị viêm họng và kê thuốc kháng sinh, giảm đau. Những triệu chứng của Kennedy không hề thuyên giảm mà còn nặng hơn. Rất may là sau đó một thành viên trong gia đình nhận thấy những triệu chứng như môi sưng tấy đỏ, nổi mụn nước… chỉ xuất hiện xung quanh vùng miệng cô bé nên đã yêu cầu các bác sĩ kiểm tra.

niềng răng, tai nạn niềng răng, tai nạn niềng răng đáng sợ trên thế giới

Sau khi làm xét nghiệm, kết quả cho thấy cô bé bị dị ứng niken toàn thân và thủ phạm khiến cô bé phải chịu đau bấy lâu nay chính là niken trong niềng răng. Chiếc niềng răng được tháo bỏ và các triệu chứng trên của Kennedy đã thuyên giảm ngay lập tức.

Được biết, hội chứng dị ứng niken toàn thân là một loại dị ứng nghiêm trọng với kim loại niken (thường được tìm thấy trong đồ trang sức, khóa quần áo và niềng răng). Ngoài niken, coban và thép không gỉ cũng khiến người bệnh bị dị ứng, nổi phát ban, da gà, ngứa, mẩn đỏ, khô da, nổi mụn nước.

Hàm răng bị niềng sai cách dẫn tới biến dạng trầm trọng

Một trang fanpage của Thái Lan có tên "Doctor Kluoi" đã đăng tải lại hình ảnh một hàm răng nhưng những chiếc răng ở hàm trên đều đang trong tình trạng… chỉa thẳng lên trời. Hàm răng đặc biệt này là một sản phẩm niềng răng lỗi đến từ đất nước Philippines. Khách hàng muốn làm răng nhưng chẳng may lại gặp phải "lang băm", không có giấy phép hành nghề. Ông này đã dùng dây thép và tiến hành niềng răng lại.

niềng răng, tai nạn niềng răng, tai nạn niềng răng đáng sợ trên thế giới

Tuy nhiên, loại dây thép này lại có tác dụng rất lớn lên răng, khiến cho hàm răng của khách hàng biến thành như trên. Điều quan trọng nhất là, sẽ không có cách nào có thể làm cho hàm răng này quay về giống như cũ được nữa. Hàm răng do bị niềng sai cách đã phải chịu một lực kéo căng tới biến dạng cả cấu trúc răng, thành thử các chân răng giờ đây đều lộ ra và... nhô thẳng ra phía ngoài.

Theo Nld.com.vn

Tin tiêu điểm

Đừng bỏ lỡ

ThS Nguyễn Vĩnh Hiệp bên mô hình ô tô điện tại Hội thi “Thiết bị đào tạo tự làm TPHCM”. Ảnh: NTCC

Mô hình ô tô điện nâng cao kỹ năng cho sinh viên

GD&TĐ - ThS Nguyễn Vĩnh Hiệp - Trưởng khoa Kỹ thuật ô tô, Trường Cao đẳng Công nghệ cao Đồng An (TPHCM), đã chế tạo mô hình mô phỏng các bộ phận chính của ô tô điện, giúp sinh viên thực hành trực tiếp trên mô hình, qua đó tiếp thu kiến thức và kỹ năng nghề nghiệp hiệu quả hơn.