Rơi xuống bể cá nước nổi đầy váng, bệnh nhi 3 tuổi sặc nước viêm phổi

GD&TĐ -  Rơi xuống bể cá của gia đình, bệnh nhi 3 tuổi bị viêm phổi do sặc nước trong bể, nguồn nước bẩn có rất nhiều vi khuẩn.

Rơi xuống bể cá nước nổi đầy váng, bệnh nhi 3 tuổi sặc nước viêm phổi

Bệnh nhi B.P.T (3 tuổi, ở Tuyên Quang) nhập viện trong tình trạng hoảng loạn, quấy khóc, đau bụng, buồn nôn, mệt mỏi.

Theo gia đình kể lại: “Bé chơi gần bể thả cá của gia đình không may bị rơi vào bể cá. Gia đình tá hỏa đi tìm thấy bé bất tỉnh trong bể cá, liền đưa bé lên và thực hiện sơ cứu ngay. Thật may mắn bé tỉnh sau khi được sơ cứu nhưng buồn nôn và có nôn một lần, cơ thể mệt mỏi. Gia đình đưa bé đến bệnh viện cấp cứu”.

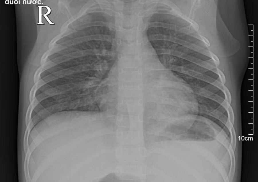
Bệnh nhi được thăm khám và chụp XQ phổi, kết quả XQ cho thấy hình ảnh phổi bé bị viêm. Các bác sĩ chẩn đoán bệnh nhi bị viêm phổi do đuối nước.

Roi xuong be ca nuoc noi day vang, benh nhi 3 tuoi sac nuoc viem phoi hinh anh 1

Hình ảnh X-quang phổi của bệnh nhi. 

Bệnh nhi được nhập viện và điều trị tại khoa Nội – Nhi – Đông y bằng phác đồ điều trị kháng sinh viêm phổi tích cực.

Theo bác sĩ Đinh Xuân Hoàng, bệnh nhi bị viêm phổi do sặc nước trong bể cá, nguồn nước bẩn có rất nhiều vi khuẩn, chính vì vậy cần phải điều trị rất tích cực nếu không nguy cơ tử vong do viêm phổi nặng có thể xảy ra bất cứ lúc nào.

Hiện tại, bệnh nhi đã cắt sốt, ăn uống tốt, có thể ra viện trong một vài ngày tới.

Bác sĩ đặc biệt lưu ý tới cha mẹ, mùa hè trẻ thường hay tắm ở ao, hồ, bể cần được theo dõi và giám sát của người lớn. Cha mẹ phải quan sát trẻ khi tắm và bơi, nếu thấy dấu hiệu trẻ sặc nước cần đưa bé lên bờ ngay, sơ cứu và tới bệnh viện gần nhất.

Theo Vtc.vn

Tin tiêu điểm

Đừng bỏ lỡ

Tập thể Trung tâm Đào tạo thường xuyên - Đại học Đà Nẵng.

Mở rộng cơ hội học tập suốt đời

GD&TĐ - 30 năm hình thành và phát triển, Trung tâm Đào tạo Thường xuyên - ĐH Đà Nẵng (CCE) khẳng định vị thế trong đào tạo từ xa và đào tạo trực tuyến.

Người dân bản Lò Ma, xã Thu Lũm thực hiện nghi thức cúng rừng.

Bản hương ước xanh nơi biên thùy

GD&TĐ - Giữa những cánh rừng già đầu nguồn sông Đà, khi Xuân về nơi biên thùy Thu Lũm, đồng bào Hà Nhì lại rộn ràng bước vào lễ Gạ Ma Thú (lễ cúng rừng).

Tên lửa đạn đạo của lực lượng Houthi.

Iran bật 'chế độ xung đột'

GD&TĐ - Chiến dịch Mỹ tấn công Iran đã kéo dài hơn 3 tuần, trong thời gian này, Iran phần lớn hành động đơn độc, không huy động lực lượng đồng minh.