3 tháng nay, bệnh nhân Trần Vĩnh N. (63 tuổi) ở huyện Bình Liêu thường đau tức ngực âm ỉ tăng dần, khó thở kèm đau mỏi và sưng nề vùng cổ.
Sau khi đến khám tại Trung tâm Y tế Tiên Yên, bệnh nhân phát hiện khối u trung thất lớn vùng giữa ngực và được chuyển tới Bệnh viện Đa khoa tỉnh Quảng Ninh.
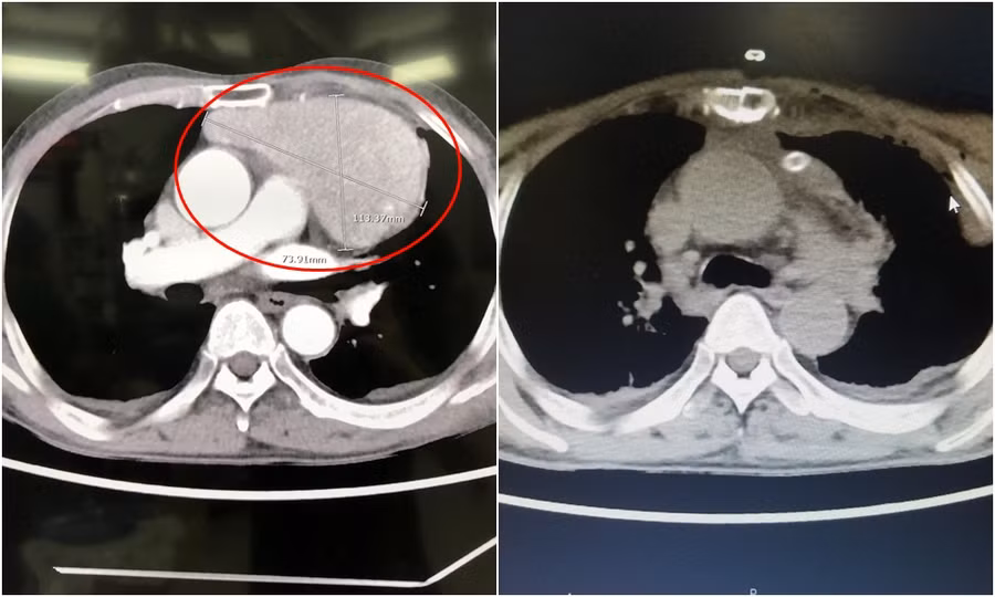
Sau khi thăm khám, các bác sĩ cho biết, khối u nằm ngay vùng trước tim, kích thước lớn bằng quả tim bệnh nhân, đè đẩy các mạch máu, tim và khí phế quản.
Kết quả xét nghiệm sinh thiết cho thấy, đây là khối u ác tính tuyến ức, chưa bị di căn xa. Các bác sĩ khoa Ngoại - Ung Bướu đã quyết định phẫu thuật cắt khối ung thư để điều trị triệt để.
Các bác sĩ tiến hành phẫu thuật theo đường mở xương ức và ngực trái, lộ khối u trung thất lớn kích thước 11x7x7cm nằm đè lên tim và ép các mạch máu về tim, u tăng sinh nhiều mạch lớn dính vào các tổ chức xung quanh.
Sau hơn 2 giờ phẫu thuật, các bác sĩ đã bóc tách, lấy trọn khối u và tổ chức xung quanh, bảo tồn nguyên vẹn tim và các mạch máu thần kinh quan trọng vùng tim. Hiện tại, tình trạng sức khoẻ bệnh nhân ổn định, đỡ đau tức ngực, có thể ăn uống và vận động nhẹ nhàng.

Ths.Bs Phạm Việt Hùng – Trưởng khoa Ngoại, Bệnh viện Đa khoa tỉnh Quảng Ninh cho biết: “Phẫu thuật ung thư tuyến ức là phẫu thuật lớn, thường phải dùng đường mở xương ức để lấy toàn bộ tuyến ức và cắt bỏ các tổ chức bị ung thư xâm lấn.
Trường hợp này khối u rất to nên để tránh vỡ u làm lan tế bào ung thư, chúng tôi chủ động mở cả xương ức và ngực trái, đảm bảo phẫu trường mổ đủ rộng rãi để lấy trọn u trung thất kích thước lớn”.
Khối u trung thất được tạo ra từ các tế bào mầm hoặc tế bào tăng sinh trưởng trong mô tuyến ức, mô thần kinh, mô bạch huyết, có thể lành hoặc ác tính. Bệnh nhân bị u trung thất có thể xuất hiện các triệu chứng có liên quan đến bệnh nhược cơ (sụp mi, mệt, khó thở...) hoặc các triệu chứng do u chèn ép như: Đau ngực, khó thở, phù nửa người trên…
Theo các bác sĩ, bệnh lý u trung thất không hiếm gặp. Tuy nhiên, việc có khối u trung thất kích thước lớn như bệnh nhân N. là trường hợp hy hữu, không chỉ ở Việt Nam mà còn trên thế giới.
Nếu không được phát hiện và phẫu thuật loại bỏ u kịp thời, các triệu chứng sẽ ngày càng nặng hơn và dẫn tới tử vong. Phẫu thuật là phương pháp điều trị chính dù là u lành hay ác tính. Trường hợp u lành, khối u nhỏ có thể mổ qua nội soi, đối với khối u kích thước lớn, ác tính cần mở ngực để cắt bỏ nguyên khối u và tổ chức xung quanh.
Các bác sĩ khuyến cáo, khi có những triệu chứng bất thường, bệnh nhân nên đến bệnh viện để được chẩn đoán, phát hiện và xử trí kịp thời, tránh các biến chứng có thể gây tử vong.