Khi niềng răng, bạn có cảm giác đau đớn, sụt cân, viêm lợi, hôi miệng, ăn uống khó khăn... Ngoài ra, thỉnh thoảng xảy ra các tai nạn hy hữu và có thể nguy hiểm đến tính mạng.
Dị ứng với chiếc niềng răng
Kennedy Odom 16 tuổi ở Mỹ bị suy nhược cơ thể suốt nhiều tháng. Bác sĩ phát hiện nguyên nhân là Kennedy bị dị ứng với chiếc niềng răng trong miệng. Thiếu nữ sau đó tiếp tục xuất hiện nhiều triệu chứng dị ứng khác như sốt, sưng tấy đỏ ở môi, đau họng...
Kennedy được bác sĩ chẩn đoán mắc hội chứng dị ứng niken toàn thân. Chiếc niềng rằng được tháo bỏ và các triệu chứng của cô bé thuyên giảm dần. Ngoài niken, coban và thép không gỉ cũng khiến Kennedy bị dị ứng gây phát ban, da gà, ngứa, mẩn đỏ, khô da và nổi mụn nước...
Mảnh niềng răng rơi vào bụng
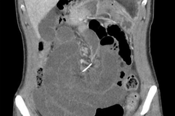
Một phụ nữ 30 tuổi ở Australia nhập viện trong tình trạng đau bụng dữ dội vì có một đoạn kim loại dài 7 cm đâm thủng ruột non. Ruột non của người này bị xoắn xung quanh. Bác sĩ phẫu thuật cấp cứu để lấy dị vật ra, phát hiện đó là sợi dây kim loại của chiếc niềng răng.
Người phụ nữ cho biết đã đeo niềng răng từ 10 năm trước và không nhớ nuốt phải sợi dây này lúc nào.
![]() |
| Mảnh kim loại của chiếc niềng răng đâm thủng ruột non người phụ nữ. |
Suýt mất mạng vì niềng răng quá chặt
Leah Kitchen 15 tuổi (Anh) xuất hiện nhiều triệu chứng như sốt, ớn lạnh, nhức đầu, đau khớp và đau cơ bắp chỉ sau một tuần niềng răng. Bác sĩ chẩn đoán cô bị cúm và kê các loại thuốc thông thường. Những ngày sau đó, Leah có nhiều hành động bất thường, mất trí nhớ và bị đột quỵ nhẹ hai lần.
Sau khi xét nghiệm, cô được bác sĩ chẩn đoán mắc chứng viêm nội tâm mạc, phải phẫu thuật gấp. Viêm nội tâm mạc là loại nhiễm khuẩn nguy hiểm, tỷ lệ tử vong cao do vi khuẩn đi vào máu khiến các van tim bị tổn thương. Nguyên nhân được xác định là chiếc niềng răng siết quá chặt đã làm vi khuẩn trong khoang miệng của Leah sinh sôi mạnh.
