Tờ SCMP - Bưu điện Hoa Nam Buổi sáng (Hong Kong, Trung Quốc) đưa tin một phụ nữ Thượng Hải tên Huang đột ngột lên cơn ho sau khi ăn thức ăn cay. Trong cơn ho không ngừng, người phụ nữ nghe thấy tiếng nứt phát ra từ ngực.
Ban đầu Huang cho rằng l, không có gì đáng lo lắng nhưng sau đó cô cảm thấy đau đớn khi nói và thở. Cô nhập viện ngay sau đó.
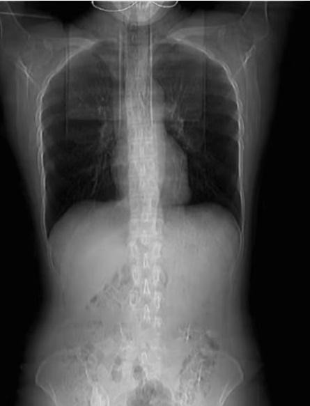
Kết quả chụp cắt lớp cho thấy 4 xương sườn của Huang đã gãy. Các bác sĩ nói rằng, Huang còn cần phải quấn băng quanh ngực trong 1 tháng đồng thời nghỉ ngơi.
|  | 
| Người phụ nữ lên cơn ho vì thức ăn cay làm gãy 4 chiếc xương sườn. Ảnh: SCMP. | 
Các bác sĩ nhận định, nguyên nhân dẫn đến tình trạng này là do trọng lượng cơ thể của Huang. Cô cao 171 cm nhưng chỉ nặng 57 kg. Phần cơ thể trên của Huang rất mỏng và lộ cả xương sườn.
Một bác sĩ phân tích: Xương sườn của Huang lộ rõ dưới lớp da. Không có nhiều cơ để hỗ trợ xương vì vậy xương sườn của cô gái rất dễ nứt gãy khi ho.
Sau chấn thương này, Huang đặt mục tiêu khi hồi phục sẽ luyện tập nhiều hơn để tăng cơ và trọng lượng phần thân trên.
 
  
  
   
   
   
   
   
   
   
   
   
   
   
   
   
   
   
   
   
   
   
   
   
   
   
   
   
   
   
   
   
   
   
   
   
  