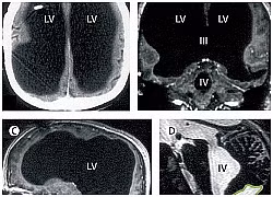
Ảnh chụp cho thấy người đàn ông này hầu như không có tí não nào. (Feuillet et al./The Lancet).
Trường hợp đặc biệt này được trình bày trên tờ Lancet, khiến những lý thuyết nền tảng khoa họccủa con người bị lung lay.
Theo MetroNews đưa tin, người đàn ông đã sống hoàn toàn bình thường trong 44 năm qua. Thậm chí, anh đã kết hôn, có 2 con trai, và làm việc trong cơ quan nhà nước và không hề bị hiện tượng rối loạn thần kinh.
Sau khi kiểm tra chỉ số IQ là 75, mặc dù hơi thấp so với mức trung bình nhưng cũng khiến các nhà khoa học vô cùng bối rối.
Nhà tâm lý học Axel Cleeremans từ Đại học Bruxelles (Bỉ) phải thốt lên rằng, “chẳng sách vở nào giải thích được tại sao một người mất 90% tế bào thần kinh lại hoàn toàn bình thường”.
Tại sao người đàn ông này sống khỏe mạnh trong suốt thời gian dài như vậy? Hãy cho chúng tôi biết ý kiến của bạn về sự việc lạ kỳ này nhé!

