Lần đầu tiên phẫu thuật cho bệnh nhân phình động mạch cảnh

GD&TĐ - Bệnh viện Hữu nghị Việt Đức (Hà Nội) cho biết vừa phối hợp với chuyên gia Nhật Bản phẫu thuật thành công cho một nam bệnh nhi, 8 tuổi, bị phình động mạch cảnh trong khổng lồ, hiếm gặp. Trước đó, suốt 7 năm, gia đình bệnh nhi chạy chữa khắp nơi, gây tốn kém tiền bạc.

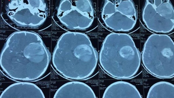
Hình ảnh khối phình động mạch cảnh trong khổng lồ, ảnh do Bệnh viện Việt Đức cung cấp
Hình ảnh khối phình động mạch cảnh trong khổng lồ, ảnh do Bệnh viện Việt Đức cung cấp

Bệnh nhân quê ở Quảng Bình, nhập viện ngày 3/6 trong tình trạng bị phình động mạch cảnh trong khổng lồ, kích thước 10 x 12cm. Đây là trường hợp hiếm gặp, vì bình thường, túi phình chỉ có kích từ 1,5 đến 2,5 cm. Túi phình này phát sinh do dị dạng của thành mạch máu và áp lực của dòng chảy, chèn ép trực tiếp vào dây thần kinh thị giác, khiến bệnh nhi bị mất thị lực hoàn toàn. Ngoài ra, bệnh nhi còn bị phình mạch ở động mạch dưới đòn phải, động mạch thận trái và động mạch cánh tay phải. Nếu không được can thiệp kịp thời sẽ có nguy cơ tử vong.

Sau khi thăm khám và làm các xét nghiệm cần thiết để đánh giá tình hình, kíp phẫu thuật gồm Giám đốc Trung tâm Phẫu thuật Thần kinh, Bệnh viện Việt Đức - Đồng Văn Hệ và Giáo sư Kasumi Takizawa - Giám đốc Trung tâm Ngoại thần kinh Bệnh viện Red Cross Asakikawa Nhật Bản đã giải quyết được túi phình động mạch cảnh trong cho bệnh nhân. Ca phẫu thuật kéo dài hơn 12 tiếng.

Phình động mạch cảnh trong là bệnh lý nguy hiểm nhưng triệu chứng thường rất mơ hồ. Phần túi phình có thể gây chảy máu, tụ máu trong nhu mô não, chảy máu trong não thất hoặc gây hiệu ứng chèn ép vào các dây thần kinh của mạch máu nền sọ… Tỉ lệ mắc bệnh này trong cộng đồng là khoảng 2%; Việt Nam cũng chưa có nhiều kinh nghiệm trong việc điều trị căn bệnh nan y này.

Tin tiêu điểm

Đừng bỏ lỡ

Sách giáo khoa điện tử dễ cập nhật nội dung mới, có thể tích hợp video, hình ảnh, bài tập tương tác… tạo sự hấp dẫn cho học sinh. Ảnh minh họa: ITN

Sách giáo khoa điện tử: Cơ hội bứt phá trong dạy và học

GD&TĐ - Dự thảo Thông tư quy định tiêu chuẩn, quy trình chuyển thể và thẩm định sách giáo khoa điện tử từ sách giáo khoa bản in theo Chương trình GDPT 2018 đang nhận được nhiều ý kiến đồng thuận từ đội ngũ giáo viên, cán bộ quản lý.