Trước đó, ngày 5/3, ông Phan M (1964, quê ở Quảng Ngãi) đến bệnh viện quận Thủ Đức khám bệnh do có triệu chứng ho liên tục, kèm đờm,... suốt gần 3 năm trời mà không rõ nguyên nhân, mặc dù trước đó đã từng đi khám nhiều nơi.
Sau khi thăm khám, bệnh nhân được chỉ định nhập khoa Nội tổng quát để theo dõi và điều trị.
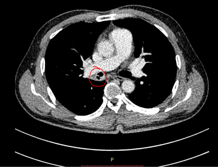
Tại đây, bệnh nhân được bác sĩ chỉ định chụp CT để truy tìm nguyên nhân. Kết quả ghi nhận vùng ở phế quản phải, nằm ở vị trí sát động mạch phổi có dị vật lạ không rõ bản chất, kèm viêm xung huyết quanh dị vật.
![]() |
| Xương cá nằm trong phế quản. |
Các bác sĩ nhận định đây là một trường hợp rất khó khăn để thực hiện nội soi để có thể gắp dị vật ra thành công. Vì nguy gây cơ tổn thương lên động mạch phổi phải rất cao do vị trí gần sát, dẫn đến xuất huyết, phải mổ mở lồng ngực để cầm máu, và có thể gây nguy hiểm đến tính mạng người bệnh.
Sau tư vấn, được sự đồng ý của gia đình. Bệnh nhân được chuyển lên phòng mổ để tiến hành nội soi gắp dị vật ra. Trước đó các bác sĩ và ekip đã chuẩn bị tất cả các dụng để phẫu thuật trong trường hợp xấu nhất có thể xảy ra cho bệnh nhân. Sau 5 phút thực hiện, ca nội soi diễn ra đã thành công tốt đẹp.
Về phía bệnh nhân M, ông cho biết: “Ông khá bất ngờ khi biết được nguyên nhân khiến mình bị ho suốt 3 năm trời.
Khoảng 3 năm trước, trong lúc ăn cơm, do không để ý, ông đã nuốt phải xương cá. Nghĩ nuốt vào thì nó cũng xuống dạ dày, nên ông không quan tâm nữa.
4 tháng sau, ông bắt đầu có những triệu chứng ho, có đi khám và uống thuốc nhiều nơi nhưng không hết hẳn, mà chỉ được một thời gian lại bị tái phát, cứ như vậy kéo dài gần 3 năm trời.
Cho đến thời gian gần đây, triệu chứng của ông trở nặng hơn nên ông đã đến bệnh viện quận Thủ Đức khám và được chữa trị. Hiện sức khỏe tôi đã tốt hơn, không còn bị ho như trước nữa”.
Trước đó, tháng 10/2018, Bệnh viện quận Thủ Đức cũng đã tiến hành nội soi phế quản gắp thành công dị vật hạt sapôchê (2cm) cho bệnh nhân nữ 53 tuổi bị ho liên tục suốt 4 năm trời mà không rõ nguyên nhân.
Các BS khuyến cáo: Người dân khi ăn bị sặc, ho, có triệu chứng đau tức ngực, ho dữ dội, cần đi khám ngay, không nên làm các biện pháp cố lấy dị vật ra, nhất là khi dị vật đã đi vào đường hô hấp. Nếu để lâu, điều này có thể dẫn tới viêm phổi tái phát nhiều lần.
Lưu ý khi ăn uống, người dân cần tránh cười đùa, nhất là trẻ em. Phụ huynh không nên cho trẻ đùa nghịch khi ăn, hay chơi các đồ chơi nhỏ, vì trẻ nhỏ hay ngậm, mút đồ chơi, khiến chúng dễ rơi vào đường thở.
