
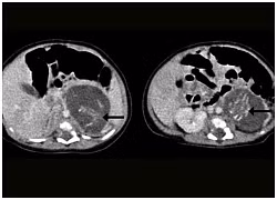
Vị trí xương sống của hai bào thai trong cơ thể bé nữ trong Bệnh viên Nữ hoàng Elizabeth tại Hong Kong. Ảnh: Tạp chí Medical.
Một sản phụ từ Trung Quốc đại lục đã sinh con gái trong Bệnh viện Nữ hoàng Elizabeth ở Hong Kong. Sau đó các bác sĩ phát hiện hai bào thai khoảng 8 tới 10 tuần tuổi trong cơ thể em.
Cặp bào thai song sinh có chân, tay, xương sống, xương sườn, dạ dày. Chúng có khối lượng lần lượt là 9,3 và 14,2 gram. Mỗi bào thai có một dây cuống rốn riêng.
Ca phẫu thuật để lấy hai bào thai ra khỏi cơ thể bé nữ sơ sinh đã diễn ra thành công, nhưng mãi tới gần đây tạp chí Medical của Hong Kong mới đưa tin.
Hiện tượng bào thai trong bào thai chỉ xảy ra với xác suất 1/500.000 trên toàn thế giới, nhưng giới y khoa mới ghi nhận dưới 200 trường hợp.
Yu Kai-man, một bác sĩ sản khoa và nhi khoa, tin rằng đây là trường hợp bào thai trong bào thai đầu tiên tại Hong Kong.
“Phát hiện bào thai trong bào thai là việc gần như bất khả thi trong quá trình khám thai, vì phôi thai trong cơ thể đứa trẻ rất nhỏ. Hai bào thai kia chính là sản phẩm của người mẹ đứa trẻ, nhưng chúng hình thành trong cơ thể em”, Yu giải thích.
Ban lãnh đạo Bệnh viện Nữ hoàng Elizabeth khẳng định rằng giới chuyên môn vẫn chưa biết nguyên nhân gây nên hiện tượng bào thai trong bào thai. Tổ chức Y tế Thế giới coi nó là một dạng ung thư. Tuy nhiên, báo cáo của bệnh việ cho rằng nó có thể xảy ra nếu phụ nữ phá thai nhiều lần.