Bệnh viện Bệnh Nhiệt đới Trung ương cho biết, đáng lưu ý, cả 3 bệnh nhân đều ở lứa tuổi trẻ và có tiền sử khỏe mạnh.
Cụ thể, trường hợp đầu tiên là trẻ nam, 19 tháng tuổi nhập khoa Nhi, Bệnh viện Bệnh Nhiệt đới Trung ương trong tình trạng sốt cao liên tục (39 - 40 độ C). Trước đó, bệnh nhi được điều trị tại Bệnh viện Đa khoa Bắc Kạn, xét nghiệm có kết quả cúm B (+).
Sau 5 ngày điều trị, bệnh nhi vẫn sốt cao liên tục, ho, mệt nhiều, ăn kém, nôn, đi ngoài phân lỏng có dấu hiệu của suy hô hấp được chuyển tuyến lên khoa Nhi, Bệnh viện Bệnh Nhiệt đới Trung ương. Bệnh nhi được chẩn đoán: Viêm phổi nặng, cúm B, nhiễm khuẩn huyết. Sau khi nhập viện, bệnh nhân vẫn sốt cao liên tục, mệt tăng dần, phải thở oxy. Sau 1 ngày, bệnh nhi chuyển sang thở HFNC (oxy dòng cao). Bệnh nhi được làm xét nghiệm và cấy máu ra vi khuẩn tụ cầu.
Trường hợp khác là bệnh nhân nam, 40 tuổi ở Thanh Hóa nhập khoa Cấp cứu, Bệnh viện Bệnh Nhiệt đới Trung ương ngày 8/5. Bệnh nhân có tiền sử khỏe mạnh.
Cách vào viện 5 ngày, bệnh nhân xuất hiện sốt cao, hắt hơi, sổ mũi, ăn uống kém. Khi thấy khó thở đau tức ngực sau xương ức, khó thở tăng dần, ho khạc đờm xanh bệnh nhân nhập viện được test cúm B (+) .
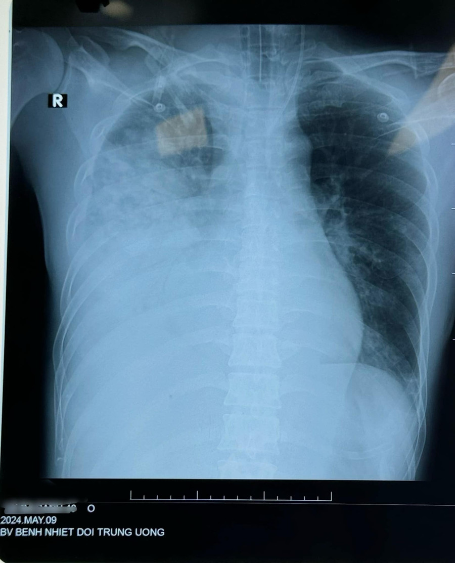
Khi chụp cắt lớp có hình ảnh tổn thương phổi bên phải, được chẩn đoán: Viêm phổi nặng - Cúm B.
Bệnh nhân được thở O2 mask và chuyển đến Bệnh viện bệnh Nhiệt đới Trung ương. Bệnh nhân nhập trong tình trạng khó thở và tức ngực nhiều, sau đó được đặt ống thở máy. Hiện tại bệnh nhân đã được đặt ECMO.
![]() |
| Trước đó, cả 3 bệnh nhân đều khoẻ mạnh. Ảnh: BVCC. |
Trường hợp thứ 3 là bệnh nhân nữ, 30 tuổi ở Hải Hậu, Nam Định. Bệnh nhân xuất hiện sốt cao 39 - 40 độ C, kèm theo đau tức ngực và khó thở tăng dần.
Bệnh nhân được đưa vào cơ sở y tế gần nhà khám và kê đơn điều trị ngoại trú 2 ngày. Tuy nhiên, tình trạng không cải thiện mà xuất hiện suy hô hấp nặng.
Bệnh nhân lại nhập viện để điều trị, được làm xét nghiệm có kết quả cúm B (+). Bệnh nhân được chẩn đoán: Viêm phổi - Suy hô hấp - Cúm B. Sau 2 ngày điều trị tình trạng khó thở tăng dần.
Bệnh nhân được chuyển đến khoa Hồi sức tích cực, Bệnh viện Bệnh Nhiệt đới Trung ương. Tại đây, bệnh nhân được đặt ống thở máy nhưng đáp ứng kém, bệnh nhân được chỉ định can thiệp ECMO.
“Khi bị mắc cúm B có diễn biến nặng, người bệnh cần đến khám ngay tại các cơ sở y tế điều trị chuyên sâu và theo dõi biến chứng và nguy cơ bội nhiễm…”, Ths. BS Trần Văn Bắc, Phó Trưởng khoa Cấp Cứu, Bệnh viện bệnh Nhiệt đới Trung ương cho biết.
Theo TS Trần Thị Hải Ninh, Trưởng khoa Nội Tổng hợp, Bệnh viện Bệnh Nhiệt đới Trung ương, cúm là bệnh nhiễm trùng đường hô hấp cấp tính, do virus cúm gây ra. Các triệu chứng phổ biến bao gồm đau đầu, sốt, ho, đau họng, đau nhức cơ khớp và nói chung là cảm giác khó chịu.
Bệnh cúm thường nặng hơn cảm lạnh đơn thuần mặc dù bệnh cũng có thể nhẹ. Mức độ nghiêm trọng của bệnh từ các triệu chứng nhẹ đến viêm phổi nặng, viêm não và nhiễm trùng toàn thân, có thể đe dọa tính mạng.
Những biểu hiện nghiêm trọng này có thể là do bản thân virus cúm hoặc các bệnh nhiễm trùng do vi khuẩn / virus khác xảy ra sau nhiễm cúm làm suy yếu khả năng phòng vệ của cơ thể.
Bệnh nặng hơn thường gặp ở người già, trẻ nhỏ, phụ nữ mang thai và những người mắc các bệnh mãn tính như tiểu đường hoặc bệnh tim.
Tuy nhiên, nhiễm trùng nặng cũng có thể xảy ra ở bất kỳ nhóm tuổi nào có thể trạng sức khỏe tốt. Cách tốt nhất để ngăn ngừa bệnh cúm là tiêm phòng cúm hàng năm. Vắc-xin ngừa cúm có khả năng bảo vệ tốt, làm giảm nguy cơ mắc bệnh và nguy cơ tiến triển nặng.
