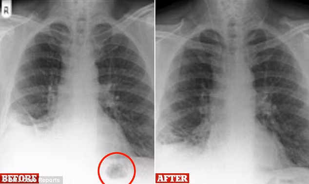
Với tình trạng như vậy, người đàn ông đến từ Preston, Anh được tiến hành phẫu thuật khẩn cấp. Đến lúc này các bác sĩ mới phát hiện khối u trong phổi hóa ra chỉ là một chiếc nón đồ chơi. Đây là thứ mà bệnh nhân vô tình hít qua đường khí quản, trú ngụ trong phổi từ 40 năm về trước. Chính dị vật này là nguyên nhân khiến phổi của người đàn ông bị tổn thương.

“Theo hiểu biết của chúng tôi, đây là trường hợp đầu tiên dị vật lớn như vậy có thể tồn tại mà không gây ảnh hưởng cho người bệnh trong suốt 40 năm. Cuối cùng thì anh ấy cũng đã tìm thấy chiếc nón giao thông trong bộ ghép hình Playmobil bị mất khi còn bé”, bác sĩ hài hước chia sẻ.
Bệnh nhân cho biết đây là chiếc nón trong bộ ghép hình mình được tặng vào sinh nhật 7 tuổi. Cùng với quá trình trưởng thành, đường hô hấp của anh đã thích nghi được với dị vật nên món đồ chơi mới lâu bị phát hiện đến vậy. Chỉ 4 tháng sau khi loạt bỏ chiếc nón giao thông ra khỏi cơ thể, các triệu chứng nguy hiểm của bệnh nhân 47 tuổi cũng giảm hoàn toàn.