
Nọc bọ cạp có thể giúp tiêu diệt u não
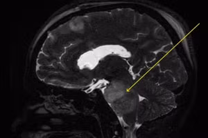
GD&TĐ - Các nhà khoa học dùng nọc bọ cạp để dẫn tế bào miễn dịch tấn công u não, giai đoạn đầu cho kết quả khả quan.
GD&TĐ - Các nhà khoa học dùng nọc bọ cạp để dẫn tế bào miễn dịch tấn công u não, giai đoạn đầu cho kết quả khả quan.
GD&TĐ - Khối u phát triển âm thầm trong nhiều năm, gây chèn ép nhiều cấu trúc quan trọng trong não.
GD&TĐ - Sau khi Báo GD&TĐ đăng tải bài viết, em Bách (Lớp 9A, Trường THCS Thanh Dũng, Đức Thọ) đã nhận được nhiều sẻ chia từ các tấm lòng hảo tâm.
GD&TĐ - Nhìn đứa con trai từng ngày quằn quại chống chọi với căn bệnh u não quái ác, hai vợ chồng giáo viên nghèo nghẹn ngào xin đánh đổi sự sống cho con.