Bệnh nhân là cụ ông N.T (huyện Yên Dũng, tỉnh Bắc Giang) đã “gắn bó” với cầu răng giả hàm dưới cả chục năm nay. Cụ thường xuyên có thói quen tháo lắp hàm răng để vệ sinh hàng ngày.
Ngày 13/8, trong quá trình nằm viện để điều trị di chứng do tiền sử lao phổi cách đây 6 năm, trong một cơn ho khạc đờm mạnh, toàn bộ hàm răng giả của cụ bị rơi và mắc kẹt vào khí phế quản gốc bên trái. Sự cố này đã gây tắc nghẽn đường thở và đe dọa tới tính mạng người bệnh.
Ngay sau đó, cụ N.T được các bác sỹ chuyển sang Khoa Hồi sức Tích cực và được tiến hành nội soi phế quản gắp dị vật ra ngoài, giải phóng đường thở.
Quá trình thực hiện đã thành công, hiện tại, người bệnh đã cảm thấy dễ chịu hơn.
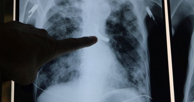
![]() |
| Phim chụp dị vật trong phế quản (BVCC). |
Trước đó năm 2018, Bệnh viện cũng tiếp nhận một cụ ông bị rơi một hàm gồm 4 chiếc răng vào phế quản. Năm nay, trường hợp cụ N.T lại bị tới 9 chiếc răng sứ kim loại với chiều dài lên tới gần 5 cm, nên quá trình nội soi lấy dị vật phức tạp hơn, đòi hỏi các chuyên gia nội soi nhiều kinh nghiệm.
Bác sỹ Nguyễn Lê Nhật Minh, Trưởng Khoa Nội soi Chẩn đoán và can thiệp cho biết: “Đây là một trường hợp dị vật khó, do bề mặt răng sứ rất trơn nên không thể dùng kìm để gắp được, hơn nữa, người bệnh còn bị suy hô hấp và đang phải thở máy.
Ekip nội soi phế quản lấy dị vật đã phải đưa ống nội soi vào trong ống nội khí quản và dùng một thiết bị thòng lọng để thít vào cầu răng giả và lấy ra đồng thời khi rút ống nội khí quản.
Ngay sau đó, người bệnh được đặt lại ống nội khí quản, mọi chỉ số thông khí đều ổn định trước và sau khi can thiệp”.
Người sử dụng răng giả cẩn trọng trong, tránh sự cố. Khi xảy ra sự cố, nếu không được các bác sĩ cấp cứu kịp thời, đúng phương pháp thì sẽ dẫn tới những hệ lụy khó lường.
