Bị nhồi máu cơ tim cấp vì cố chơi hết kỳ du lịch

GD&TĐ - Đang trong kỳ nghỉ dưỡng cùng gia đình, bệnh nhân bị đau tức ngực nhưng chủ quan, vẫn tiếp tục chuyến đi. Trên đường về, những cơn đau dồn dập buộc người bệnh phải vào viện cấp cứu trong tình trạng nguy kịch vì nhồi máu cơ tim bán cấp.

Bị nhồi máu cơ tim cấp vì cố chơi hết kỳ du lịch

Đó là trường hợp nam bệnh nhân T.S. (45 tuổi, ngụ tại huyện Hóc Môn, TPHCM). Được biết, trước khi nhập viện cấp cứu, anh S. cùng gia đình tổ chức chuyến đi du lịch nghỉ dưỡng tại Đà Lạt.

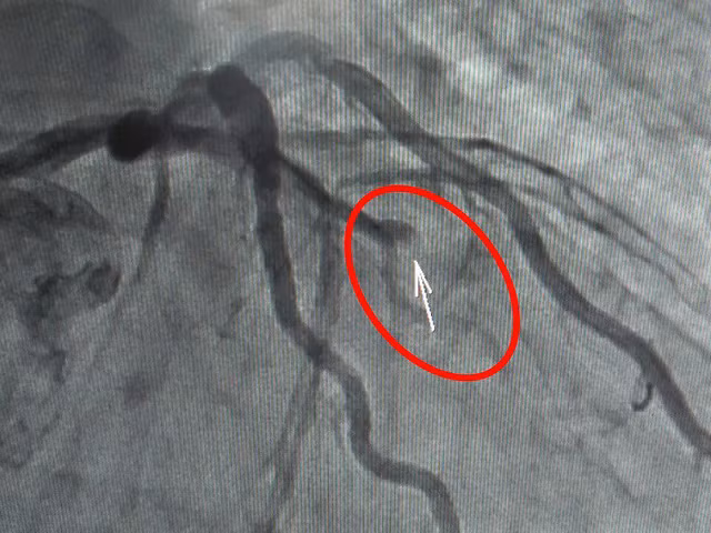
Hình ảnh chụp mạch vành cho thấy, bệnh nhân bị tắc hoàn toàn động mạch liên thất trước
Hình ảnh chụp mạch vành cho thấy, bệnh nhân bị tắc hoàn toàn động mạch liên thất trước

Đang vui cùng gia đình, anh bất ngờ gặp phải những cơn đau tức ngực. Tuy nhiên, bệnh nhân chủ quan nên bỏ qua các biểu hiện trên và tiếp tục cuộc vui. Khi những cơn đau xuất hiện ngày càng nhiều, kèm theo khó thở, tức ngực anh đến phòng khám tại Đà Lạt kiểm tra. Sau chẩn đoán thiếu máu cơ tim cấp, các bác sĩ đề nghị anh nhập viện theo dõi điều trị nhưng anh S. chỉ xin toa thuốc về uống, cầm cự cho hết kỳ nghỉ.

Sau 2 ngày chịu đựng những cơn đau, gia đình kết thúc kỳ nghỉ trở về Sài Gòn. Trên đường đi, anh lên cơn đau dữ dội vùng ngực trái, khó thở phải nhập Bệnh viện Xuyên Á cấp cứu. Qua thăm khám lâm sàng, bác sĩ ghi nhận bệnh nhân tụt huyết áp, nhịp tim không đều. Sau các kết quả kiểm tra chuyên sâu bác sĩ chẩn đoán, bệnh nhân bị nhồi máu cơ tim bán cấp, nguy kịch tính mạng nên lập tức chỉ định can thiệp động mạch vành cấp cứu.

Trong quá trình can thiệp, ê kíp ghi nhận bệnh nhân bị tắc hoàn toàn động mạch liên thất trước, hẹp kéo dài lan tỏa nhánh LAD từ sau nhánh vách. Bệnh nhân được đặt stent đoạn gần động mạch liên thất trước tái thông vị trí bị tắc.

Sau can thiệp, ngày 10/8 bệnh nhân đã hết đau ngực, huyết động ổn định, sức khỏe dần bình phục. Các thông số xét nghiệm theo dõi cho thấy, tình trạng bệnh đang phục tốt, men tim giảm dần.

Qua trường hợp trên, bác sĩ khuyến cáo: Khi cơ thể có những dấu hiệu cảnh báo như đau tức ngực, khó thở, người bệnh tuyệt đối không nên chủ quan. Đặc biệt khi các triệu chứng trên tái diễn hoặc nặng hơn chứng tỏ cơ thể đang đối mặt với bệnh lý nguy hiểm cần phải sớm đến bệnh viện thăm khám, điều trị. Những trường hợp bị các bệnh lý mạch máu thường diễn tiến nặng và xấu đi rất nhanh, cộng đồng không nên chủ quan để tránh nguy hiểm đến tính mạng.

Theo Dantri.vn

Tin tiêu điểm

Đừng bỏ lỡ