BS Nguyễn Sơn Hà, Trưởng khoa Ngoại Tổng hợp, BV đa khoa Đức Giang cho biết, nam bệnh nhân Vũ Văn H, 37 tuổi, sống tại Cổ Bi, Gia Lâm, Hà Nội vào BV cấp cứu do đau bụng vùng thượng vị và hố chậu trái, đau âm ỉ tăng dần.
Bệnh nhân được chỉ định siêu âm ổ bụng, chụp X-quang, xét nghiệm máu… Kết quả khẳng định bệnh nhân bị viêm ruột thừa cấp với đầy đủ triệu chứng như hội chứng nhiễm trùng, phản ứng thành bụng...
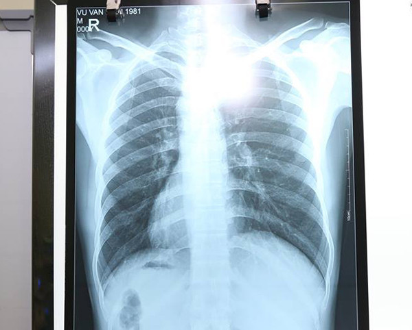
Tuy nhiên, điều khiến các bác sĩ kinh ngạc là tim cùng các phủ tạng khác trong lồng ngực và bụng của bệnh nhân đều ở vị trí ngược so với bình thường, tim và dạ dày đều ở bên phải còn gan, ruột thừa nằm ở bên trái.
![]() |
| Tim, dạ dày và nhiều cơ quan nội tạng khác của bệnh nhân H. đều ở vị trí lộn ngược so với người bình thường. |
Theo BS Hà, đây là một trường hơp cực kỳ hiếm gặp. Với trường hợp thông thường, đau ruột thừa sẽ đau ở hố chậu phải vì vị trí manh tràng nằm bên phải, nhưng trường hợp này, bệnh nhân H. lại đau bên trái.
Do phủ tạng lộn bên nên điều khó khăn nhất trước khi phẫu thuật là phải xác định quai ruột có bị đảo lộn hay không.
“Trường hợp này rất nguy hiểm, bởi nếu quai ruột bị đảo lộn sang trái thay vì bên phải nhưng do thói quen bác sĩ chỉ khám bên phải, bỏ qua bên trái thì nguy cơ để sót tổn thương rất cao, dẫn tới viêm ruột thừa muộn gây viêm phúc mạc hoặc vỡ ruột thừa...”, BS Hà thông tin.
Sau khi thăm khám kĩ, BS Hà cùng ekip quyết định mổ nội soi cắt ruột thừa cho bệnh nhân. Ca mổ hoàn tất sau 30 phút, phần ruột thừa được cắt bỏ hoàn toàn. Hiện tại, sức khoẻ của bệnh nhân đã ổn định.
![]() |
| BS Hà cùng ekip phẫu thuật cho bệnh nhân. |
Theo y văn, đảo ngược phủ tạng là do bẩm sinh, có thể đảo ngược phủ tạng hoàn toàn hoặc chỉ một vài cơ quan.
Đây là dạng dị tật có tính di truyền gene lặn tương đối hiếm gặp, với tỉ lệ khoảng 1/10.000 dân, trong đó có khoảng 5-10% có dị tật tim bẩm sinh, còn lại có cuộc sống hoàn toàn bình thường, không ảnh hưởng đến sức khỏe người bệnh.
BS Hà cho hay, hầu hết các trường hợp đảo lộn phủ tạng thường có kèm theo các dị tật về chức năng của các hệ cơ quan. Như tim mạch khi bị đảo lộn vị trí thường kèm theo các dị tật về van tim, dị tật về đường ra của các động mạch, tĩnh mạch lớn của tim.
Do đó phẫu thuật trên những bệnh nhân có biến loạn hoàn toàn về giải phẫu sẽ có nhiều nguy cơ. Để tránh rủi ro, bác sĩ cần thăm khám và đánh giá kĩ trước, trong và sau mổ.

