Tiểu Kinh (4 tuổi) sống tại thành phố Thâm Quyến, Trung Quốc. Dạo gần đây, chị Lưu phát hiện bụng và ngực của con trai nhô cao giống phụ nữ mang thai. Tuy nhiên không có triệu chứng khác bất thường nên chị Lưu nghĩ rằng con trai ăn no và không để tâm.
Sau 1 tuần, chị Lưu nhận thấy bụng của Tiểu Kinh không ổn, cộng thêm biểu hiện sốt cao kéo dài. Tiểu Kinh thường xuyên khóc thét, em cảm thấy khó thở, đau tức, căng cứng vùng bụng. Chị Lưu đã nhanh chóng đưa con đến bệnh viện khám.

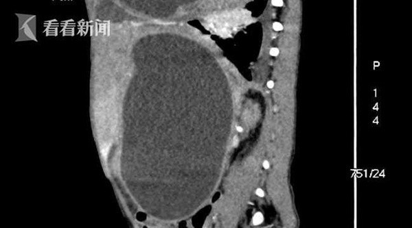
Bác sĩ Vương Kiến Nghiêu, khoa ngoại, bệnh viện Shenzhen Children"s Hospital, cho biết: "Kết quả chụp CT cho thấy vùng bụng và ngực của bệnh nhi có 2 u nang lớn. Đặc biệt u nang vùng ngực có kích thước rất lớn đã chèn ép phổi bên phải.
Kết quả xét nghiệm máu cho thấy, bệnh nhi mắc bệnh sán chó hay còn gọi là sán kim. Nang sán chứa hàng triệu đầu sán. Nếu nang sán vỡ, sẽ phóng thích hàng triệu đầu sán non theo máu ký sinh khắp nơi trên cơ thể như phổi, gan, lách, não, gây ra sự nhiễm độc, khiến việc phẫu thuật trở nên khó khăn".

Bác sĩ Vương Kiến Nghiêu chia sẻ: "Trong quá trình chọc hút nang sán, chúng tôi cố gắng không để dịch nang sán dính vào vết thương bên ngoài da. Bởi dịch nang sán chứa nhiều sán, chúng dễ phát triển và di căn sang bộ phận khác của cơ thể.
Dịch sán chọc hút từ 2 u nang khoảng hơn 1 lít. Sau khi loại bỏ 2 u nang, bệnh nhi đã hồi phục và xuất viện về nhà".
Nguyên nhân nào khiến Tiểu Kinh mắc bệnh sán chó? Hóa ra tháng 11/2018, bà nội cùng Tiểu Kinh đến vùng Tân Cương sống hơn nửa năm.
Thời điểm đó, Tân Cương chính là điểm nóng đang hoành hành dịch sán dây chó. Thông thường, bệnh sán dây chó diễn tiến chậm, thời gian ủ bệnh từ 1 – 30 năm. Đa số người mắc bệnh không có triệu chứng rõ ràng, khi tiến hành xét nghiệm hoặc phẫu thuật những căn bệnh khác mới tình cờ phát hiện.

Bác sĩ Vương Kiến Nghiêu nhắn nhủ: "Mọi người nên rửa tay, giữ gìn vệ sinh sạch sẽ khi tiếp xúc, đùa giỡn với chó. Không ăn thịt sống. Không ăn rau củ trái cây chưa rửa sạch".
Những dấu hiệu và triệu chứng của nhiễm sán dây chó?
Bệnh sán dây chó có thể không biểu hiện triệu chứng trong 10 hoặc 20 năm. Điều này là do u nang sán phát triển chậm.
Các triệu chứng của bệnh có thể bao gồm:
- Đau bụng
- Đau ngực.
- Ho kéo dài.
- Giảm cân không chủ ý.
- Yếu Vàng da (da và lòng trắng mắt vàng).
- Sốt.
- Phân có máu.
- Nhức đầu.
- Co giật.
Nguyên nhân nào gây ra bệnh sán dây chó?
Bệnh này rất phổ biến, có thể xuất hiện ở bất cứ ai, nhưng chủ yếu xảy ra ở những nơi mà con người tiếp xúc gần gũi với vật nuôi hoặc chó.
Động vật nhiễm bệnh như chó hoặc cừu, truyền qua cho con người. Chúng ta có thể bị lây nhiễm trực tiếp qua thức ăn bị nhiễm sán hoặc bị nhiễm gián tiếp bằng cách chơi đùa hoặc xử lý động vật bị nhiễm bệnh.
Lối sống và các biện pháp khắc phục tại nhà sau có thể giúp bạn đối phó với bệnh sán dây chó:
- Tránh xa động vật hoang dã.
- Tránh tiếp xúc với những con chó hoang.
- Rửa tay sau khi chạm vào chó, mèo hay thú cưng và trước khi chế biến thức ăn.