Ngày 21/8, em Võ Thị N.Q (18 tuổi, Quỳ Hợp, Nghệ An) trong quá trình đến nhập học tại Đại học Thăng Long (Hà Nội) đã bị tai nạn trên xe khách (do xe khách đâm vào xe tải). Em là một trong những bệnh nhân bị thương rất nặng.
Theo thông tin từ bệnh viện 108, bệnh nhân được chuyển đến bệnh viện sau 6 giờ bị tai nạn với tình trạng đa chấn thương: Gãy khung xương chậu, trật khớp háng phải, đồng thời chân phải của Quỳnh gãy hở 2 chỗ, máu chảy nhiều, chân trái cũng bị gãy xương đùi.
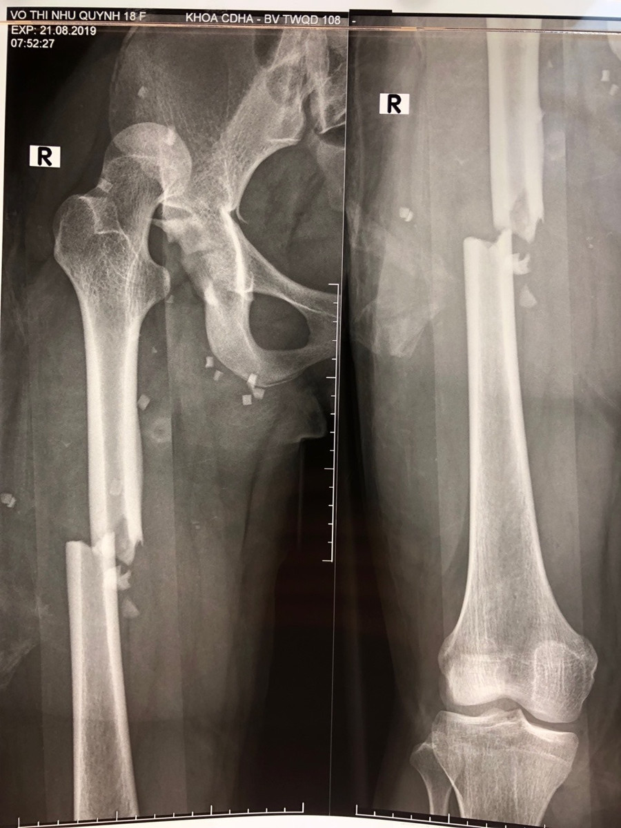
![]() |
| Hình ảnh phim chụp. |
Tại bệnh viện 108, bác sĩ chẩn đoán sơ bộ bệnh nhân bị sốc chấn thương, gãy khung xương chậu: Gãy cánh xương cùng trái và sai khớp cùng chậu phải di lệch; gãy ngang ổ cối, sai khớp háng phải; gãy hở 1/3 giữa xương đùi phải, sai khớp hở khớp sên chày kèm gãy xương sên phải, gãy kín 1/3 giữa xương đùi trái do tai nạn giao thông.
TS Nguyễn Lâm Bình - Phó Chủ nhiệm khoa Chấn thương Tổng hợp, Viện Chấn thương Chỉnh hình, BV TWQĐ 108 – người trực tiếp phẫu thuật cho bệnh nhân cho biết: Trước khi đưa vào phòng mổ, do bệnh nhân mất quá nhiều máu (khoảng 2 đến 3 lít, qua vết thương và chảy ra ở các ổ gãy) nên các bác sĩ phải truyền dịch, truyền máu chống sốc, xử trí gãy hở, đặt cố định ngoài xương đùi phải, cố chân phải và hồi sức tích cực cho bệnh nhân.
Đến ngày 28/8, sau mổ cấp cứu 7 ngày, bệnh nhân tiếp tục được mổ xử trí cơ bản bao gồm: Kết xương cùng và khớp cùng chậu, kết xương ổ cối bên phải, đặt lại khớp háng phải, kết xương đùi trái bằng nẹp khóa.
Đối với các tổn thương về xương bệnh nhân đã được xử trí cơ bản. Riêng ổ gãy xương đùi phải sẽ cần 1 lần phẫu thuật nữa để chuyển kết xương bên trong và tháo bỏ khung cố định ngoài tạm thời. Hiện bệnh nhân đã ổn định và tập vận động khớp. Dự kiến sắp được ra viện.
Bác sĩ cho biết thêm, trường hợp này bệnh nhân đến trong tình trạng bị sốc mất máu do nhiều ổ gãy, hở, bị thương phần mềm nhiều gây khó khăn cho ca phẫu thuật, nên chiến thuật điều trị cần xử lý sớm, kịp thời từng tổn thương.
Được biết, sinh viên Võ Thị N.Q đã được Ban lãnh đạo Đại học Thăng Long đến trực tiếp bệnh viện TWQĐ 108 thăm hỏi, giúp đỡ, tạo điều kiện cho em, đồng thời đã nhập học cho em ngay tại bệnh viện.
