Đi khám định kỳ, người đàn ông 32 tuổi phát hiện bị ung thư thận

GD&TĐ - Một người đàn ông ở Lâm Đồng, đến khám định kỳ tại Phòng khám đa khoa Tân Phúc Buôn Ma Thuột (Đắk Lắk) thì phát hiện bị ung thư thận.

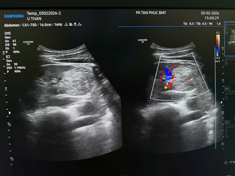
Đi khám định kỳ, người đàn ông 32 tuổi phát hiện ung thư thận. (Ảnh: NVCC)
Đi khám định kỳ, người đàn ông 32 tuổi phát hiện ung thư thận. (Ảnh: NVCC)

Ngày 13/3, anh T.C.P. (SN 1994), thường trú tại phường Bắc Gia Nghĩa, tỉnh Lâm Đồng cho biết, sau hơn 1 tháng được phẫu thuật ung thư thận, sức khỏe dần ổn định.

Trước đó, ngày 3/2/2026, anh P. đến Phòng khám đa khoa Tân Phúc Buôn Ma Thuột (địa chỉ 37-39 đường Lý Thái Tổ, phường Buôn Ma Thuột, tỉnh Đắk Lắk) để khám sức khỏe định kỳ.

Tại đây, anh được bác sĩ nội trú Lê Thị Trà Mi trực tiếp siêu âm.

Kết quả chẩn đoán hình ảnh cho thấy, anh P. bị tổn thương khối 1/2 dưới thận phải (RCC? Bướu máu? AML?...).

Do đó, bác sĩ Mi đề nghị chụp CTSCAN bụng có cản quang. Qua đó xác định, anh bị ung thư thận.

1000038746.jpg
Phiếu siêu âm của anh P.

Sau đó, anh P. đến 1 bệnh viện tại TP Hồ Chí Minh điều trị và được phẫu thuật.

"Sau phẫu thuật, tôi tiếp tục điều trị tại Bệnh viện 30/4 TP Hồ Chí Minh. Sức khỏe dần hồi phục. Cảm ơn bác sĩ Mi và đội ngũ y, bác sĩ Phòng khám đa khoa Tân Phúc Buôn Ma Thuột đã kịp thời phát hiện bệnh tình, tư vấn giúp tôi. Nếu không phát hiện kịp sẽ rất nguy hiểm", anh P. bày tỏ.

Trao đổi với Báo Giáo dục và Thời đại, bác sĩ Mai Văn Đỏ - Giám đốc Phòng khám đa khoa Tân Phúc Buôn Ma Thuột cho biết, khám sức khỏe định kỳ 6 tháng hoặc ít nhất 1 năm/1 lần rất cần thiết. Mục đích, biết tình trạng sức khỏe của bản thân, tầm soát sớm những bệnh có thể điều trị được khi được phát hiện bằng những phương tiện có sẵn tại phòng khám không cần nhiều kỹ thuật xâm lấn.

Hệ thống Phòng khám đa khoa Tâm Phúc gồm:

Chi nhánh 1: Phòng khám đa khoa Tâm Phúc Ea H’leo - địa chỉ 462 Giải Phóng, xã Ea Drăng, tỉnh Đắk Lắk - 0262.8888.115.

Chi nhánh 2: Phòng khám đa khoa Tâm Phúc Buôn Hồ - địa chỉ: 432 Hùng Vương, phường Buôn Hồ, tỉnh Đắk Lắk - 0262.8889.115.

Chi nhánh 3: Phòng khám đa khoa Tân Phúc Gia Nghĩa - địa chỉ: 127 Hai Bà Trưng, phường Bắc Gia Nghĩa, tỉnh Lâm Đồng – 1900.5387.

Chi nhánh 4: Phòng khám đa khoa Tân Phúc Cư Jút - địa chỉ: 206 Nguyễn Tất Thành, xã Cư Jút, tỉnh Lâm Đồng - 0929.1111.48.

Chi nhánh 5: Phòng khám đa khoa Tân Phúc BMT - địa chỉ: 37-39 Lý Thái Tổ, phường Buôn Ma Thuột, Đắk Lắk - (0262).3999.115/0947.500.333 Website: Tamphuc.hospital

Các dịch vụ: Xét nghiệm máu, siêu âm, X quang, điện tim, siêu âm tim, khám nội, khám ngoại, khám phụ sản, khám nhi, khám răng - hàm mặt, y học cổ truyền, khám sức khỏe tổng quát và định kỳ. Cấp phát thuốc BHYT với quyền lợi đầy đủ như bệnh viện.

Tin tiêu điểm

Đừng bỏ lỡ

Sinh viên châu Phi trải nghiệm múa dân gian Trung Quốc.

Du học Trung Quốc tăng mạnh

GD&TĐ - Theo Bộ Giáo dục Trung Quốc, năm học 2024 - 2025, khoảng 380 nghìn sinh viên quốc tế đến từ 191 quốc gia và vùng lãnh thổ.

The Rey Edition sở hữu tọa độ vàng, kết nối nhanh tới Hồ Gươm và các trục giao thông huyết mạch của Thủ đô.

Bài toán đầu tư dài hạn từ sản phẩm hữu hạn The Rey Edition

GD&TĐ - Khẳng định vị thế đắt giá của bất động sản nội đô, The Rey Edition - bộ sưu tập duplex tại Rivea Residences nổi lên như một tài sản “3 trong 1”: Vừa hữu hạn để trở thành tài sản sưu tầm gia tăng giá trị, vừa khai thác dòng tiền, vừa định hình chuẩn sống riêng cho giới tinh hoa.

Vũ Văn Thanh dự kiến kết hôn vào tháng 6 tới. Ảnh: Internet.

Hậu vệ Vũ Văn Thanh kết hôn

GD&TĐ - Theo dự kiến, đám cưới của Văn Thanh và bạn gái diễn ra vào tháng 6 với sự góp mặt của nhiều gương mặt quen thuộc trong làng bóng đá Việt Nam.

Vinhome Hải Vân Bay Sách giáo khoa thời tiết ngày mai tra cứu điểm Địa chỉ mua nước hoa chính hãng Tprofumo.com Thương hiệu kính mắt của sự tử tế kinhmatanna.com sách đọc online