Theo MSN, 5 năm trước Tanner bị chứng đau nửa đầu và co giật liên tục, khám ở nhiều nơi nhưng không loại thuốc nào có thể chữa được cho cậu bé.
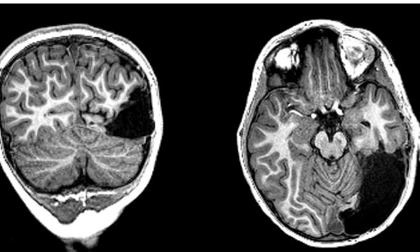
Các bác sĩ phải mở hộp sọ của Tanner để tìm nguyên nhân, bất ngờ phát hiện khối u lành tính có kích thước bằng quả bóng golf đang lớn về phía sau đầu, chèn ép vào não. Bác sĩ phẫu thuật cắt bỏ khối u, cách duy nhất để ngăn chặn các cơn động kinh. Tuy nhiên, 15% phần não chịu trách nhiệm nhìn và xử lý thông tin, hình ảnh đã bị mất sau phẫu thuật.
Tất cả người thân của cậu bé đã sẵn sàng tâm lý cho điều tồi tệ nhất xảy ra, đó là Tanner có thể bị mù và nguy cơ nhận thức chậm.
![]() |
| Một phần não bị mất của Tanner. Ảnh: MSN |
Đáng ngạc nhiên, sau khi ca phẫu thuật cắt bỏ não được thực hiện, dù bị mất 15% bộ não, cậu bé vẫn nhận diện được khuôn mặt và vật thể ở bên mình. Theo các bác sĩ, có thể phần não bên trái của Tanner đã đảm nhận nhiệm vụ của phần bên phải bị mất.
Sau phẫu thuật, các bác sĩ theo dõi chặt chẽ cậu bé với sự hỗ trợ của máy cộng hưởng từ chức năng fMRI. Trong vòng 3 năm, Tanner được cho làm các bài kiểm tra thị giác và hành vi, để so sánh với những đứa trẻ khỏe mạnh khác ở cùng độ tuổi. Cậu bé có chỉ số IQ trung bình, kỹ năng nhận thức ngôn ngữ và thị giác phù hợp với lứa tuổi.
![]() |
| Tanner nhận thức và hoạt động bình thườngnhư những đứa trẻ cùng trang lứa. |

