Đáng lưu lý, có nhiều người bệnh còn trẻ tuổi, không có bệnh nền nhưng mức độ tổn thương phổi khá nặng nề.
Được biết, theo thống kê từ khoa Nội hô hấp – Tiêu hóa, Bệnh viện đa khoa tỉnh Phú Thọ, trung bình mỗi tháng khoa tiếp nhận từ 10 – 15 ca bệnh mắc viêm phổi cộng đồng. Riêng trong tháng 11 và đầu tháng 12, số ca bệnh có xu hướng tăng đột biến cả về số lượng và mức độ.
Mới đây nhất là trường hợp người bệnh nữ 34 tuổi, tiền sử khỏe mạnh, không mắc bệnh lý mạn tính, vào viện vì ho khạc đờm, sốt, khó thở. Người bệnh tự dùng kháng sinh đường uống tại nhà nhưng tình trạng không cải thiện.
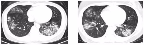
Xét nghiệm cho thấy chỉ số viêm tăng cao, phim chụp ngực ghi nhận thâm nhiễm viêm cả hai phổi. Người bệnh được điều trị kháng sinh đường tĩnh mạch tích cực, xét nghiệm loại trừ các nguyên nhân khác (lao, u phổi,…). Bệnh cải thiện, sức khỏe người bệnh ổn định và ra viện sau 10 ngày điều trị.
Theo các chuyên gia, viêm phổi là tình trạng nhiễm trùng xảy ra ở các phế nang, tiểu phế quản, phế quản tận,… Viêm phổi xảy ra ở ngoài cộng đồng dân cư được gọi là viêm phổi cộng đồng. Khi bị viêm phổi, trong các phế nang của người bệnh chứa đầy dịch viêm xuất tiết, gây ra các triệu chứng lâm sàng và biến đổi trên phim chụp ngực.
![]() |
| Triệu chứng của bệnh viêm phổi. |
Viêm phổi có thể do nhiều tác nhân gây ra như vi khuẩn, virus, nấm, do thuốc.
Các bác sĩ tại Bệnh viện Đa khoa tỉnh Phú Thọ khuyến cáo, viêm phổi cộng động có thể xảy ra ở mọi người, kể cả người khỏe mạnh, không có bệnh nền. Do vậy, trước tình trạng bệnh có xu hướng gia tăng như hiện nay, người dân cần tiêm vaccine phế cầu phòng ngừa viêm phổi, tiêm vaccine phòng cúm, đặc biệt người cao tuổi có bệnh lý mạn tính như COPD, suy tim mạn…
Bên cạnh đó, thực hiện chế độ ăn uống đầy đủ, tập luyện thể dục thể thao. Rửa tay thường xuyên và đúng cách, che miệng và mũi bằng khẩu trang để ngăn ngừa nguồn bệnh, che miệng khi ho hoặc hắt hơi, tránh dùng chung đồ cá nhân, tránh tiếp xúc với những người mắc/nghi mắc bệnh.
Giữ ấm cơ thể, nếu bị cảm lạnh cần chú ý điều trị khỏi, tránh để chuyển thành viêm phổi.
Không hút thuốc, tránh môi trường có khói thuốc.
