Chiều 18/6, thông tin từ Bệnh viện Đa khoa Trung ương Cần Thơ cho biết các bác sĩ nhiều chuyên khoa của bệnh viện đã phối hợp cứu sống bệnh nhân nguy kịch do xuất huyết tiêu hóa từ ruột non do dị dạng mạch máu.
Bệnh nhân nữ N. T. L. (SN 1965, ngụ Phú Tân, Cà Mau) được tuyến trước chuyển đến bệnh viện vào trưa ngày 12/6 với tình trạng lơ mơ, tiêu ra máu nhiều, huyết áp thấp, mạch nhanh nhẹ khó bắt, suy hô hấp...
Ngay sau khi tiếp nhận, khoa Cấp cứu của bệnh viện thực hiện qui trình báo động đỏ nội viện. Hội chẩn nhiều chuyên khoa thống nhất chẩn đoán: choáng do xuất huyết tiêu hóa từ ruột non mức độ nặng - toan chuyển hóa - suy hô hấp, rối loạn đông máu.
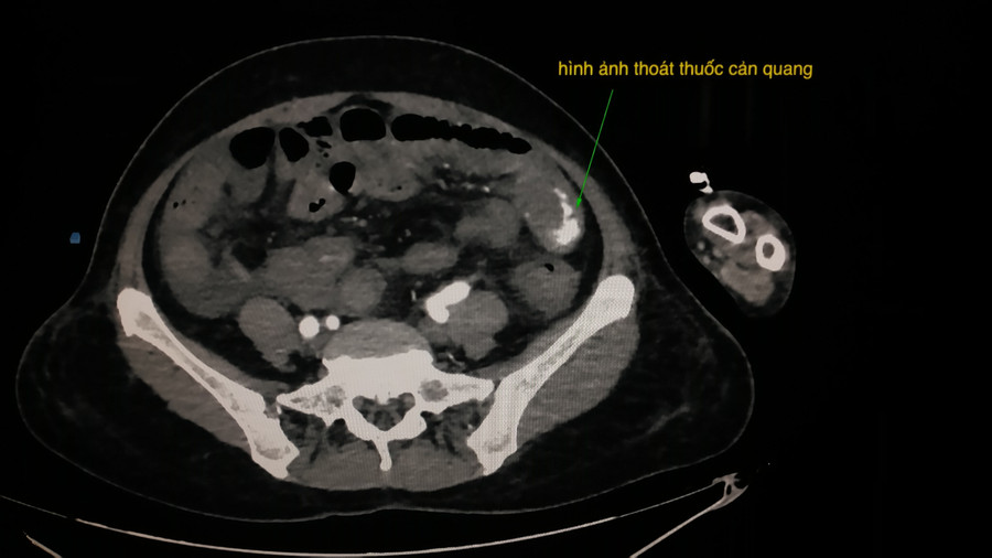
![]() |
| Hình ảnh chụp cắt lớp vi tính bụng của bệnh nhân L. có cản quang. |
Bệnh nhân được cấp cứu, truyền dịch, truyền máu, hồi sức tích cực, đặt nội khí quản, thở máy, chống toan...
Kết quả kiểm tra ghi nhận bệnh nhân bị sốc mất máu nặng, chỉ số huyết học ở mức báo động: huyết sắc tố 4.0 g/dl (bình thường: 12.5 - 16 g/dl)... Quá trình cấp cứu và phẫu thuật bệnh nhân được chỉ định truyền 35 đơn vị máu và các chế phẩm của máu.
Theo BS.CK2 Bồ Kim Phương, Trưởng khoa Nội Tiêu hóa huyết học lâm sàng bệnh viện: Chảy máu tiêu hóa dưới nguyên nhân từ ruột non, nguyên nhân thường gặp là dị dạng mạch máu ruột, tổn thương viêm trợt xuất huyết, polyp ruột non, u ruột non. Chảy máu ruột non do nguyên nhân dị dạng mạch máu ruột càng hiếm gặp và khó chẩn đoán hơn…
Hiện tình trạng sức khỏe bệnh nhân L. ổn định, niêm hồng đang được điều trị tại khoa Ngoại tổng hợp của bệnh viện.
