
Hội chứng xương biến mất hay bệnh Gorham-Stout từng xuất hiện ở bệnh viện Hoàng gia Edinburgh, Scotland, với một người phụ nữ 44 tuổi. Hội chứng này là tình trạng cực kỳ hiếm hoi làm cho người mắc bệnh mất xương mà không có một lời giải đáp.
Bệnh này hiếm tới nỗi mới chỉ có 64 trường hợp được ghi nhận lại trong lịch sử y học kể từ lần mô tả đầu tiên vào năm 1838. Đối với một người khỏe mạnh, xương sẽ tự tái tạo để duy trì sức mạnh cơ thể nhưng bệnh Gorham-Stout lại khiến quá trình này xảy ra sự cố, xương sẽ bị phá hủy nhanh hơn là tái tạo.
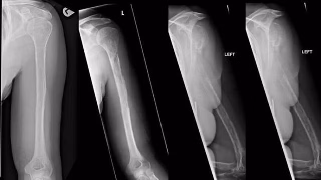
Vì tình trạng này rất hiếm nên cũng rất khó chẩn đoán. Trong trường hợp của người phụ nữ ở Edinburgh, ban đầu cô đến bác sĩ để phàn nàn về cơn đau bất thường ở vai trái. Chụp X quang cho thấy có tổn thương trên xương của cô. Điều này khiến các bác sĩ tin rằng bệnh nhân bị ung thư nhưng kết quả sinh thiết lại chứng minh phán đoán này là không chính xác.
Trong một năm rưỡi tiếp theo, các triệu chứng của cô dần trở nên tồi tệ hơn nhưng bác sĩ vẫn bối rối và không thể đưa ra một chẩn đoán cụ thể. Người phụ nữ bị đau, sưng ở cánh tay, thậm chí ngày càng nhiều như bị va đập, khiến xương bị gãy đầy đau đớn.
Sau 18 tháng ròng, cuối cùng các nhân viên y tế cũng đưa ra câu trả lời. Bằng cách quan sát các ảnh chụp X quang, bác sĩ nhận thấy xương trong cơ thể người phụ nữ mờ dần sau mỗi lần quét. Nhiều thử nghiệm được tiến hành cũng đã xác nhận rằng xương của bệnh nhân biến mất theo nghĩa đen. Kỳ lạ thay, các mạch máu lại tăng trưởng thay thế cho mô xương của cô.

Dù chẩn đoán ra nhưng căn bệnh này đến nay vẫn là một câu đố đối với giới y khoa và dường như bệnh có thể xảy ra ở bất cứ lứa tuổi, giới tính nào. Không ai tìm ra nguyên nhân gây bệnh là gì. Cũng không có cách điều trị cụ thể cho hội chứng xương biến mất.
Các bác sĩ có thể chọn loại bỏ vùng xương bị ảnh hưởng rồi ghép xương mới để khuyến khích cơ thể bệnh nhân tự sửa chữa. Một số lựa chọn khác là xạ trị và dùng thuốc theo toa.
Mặc dù căn bệnh này có vẻ đáng sợ và làm người bệnh khổ sở nhưng nhìn chung bệnh thường lành tính. Bệnh chỉ gây ra tình trạng tử vong khi lây lan đến phần đốt sống.