
Đó là trường hợp của bé trai 11 tuổi, ngụ tại Phú Yên. Cách đây 2 tuần, bệnh nhi liên tục ho ra máu với lượng nhiều. Cháu được người nhà chuyển đến bệnh viện địa phương thăm khám, tại đây bác sĩ nghi ngờ bệnh nhi bị lao phổi điều trị không thuyên giảm nên chuyển lên Bệnh viện Phạm Ngọc Thạch, TPHCM.
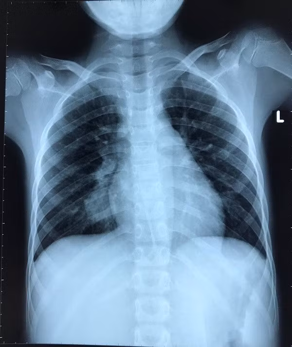
Tuy nhiên, các kết quả kiểm tra, xét nghiệm không ghi nhận dấu chứng của bệnh lao. Kiểm tra hình ảnh bác sĩ nghi ngờ cậu bé có khối u ở phổi nên chuyển sang Bệnh viện Nhi Đồng 2. Tại đây, bệnh nhân được chụp CT-Scan ngực, phát hiện túi phình động mạch phổi ở thùy dưới phổi phải, kích thước 20x18mm.
Bệnh nhân được làm xét nghiệm để tìm nguyên nhân gây giãn động mạch phổi. Kết quả khám lâm sàng và xét nghiệm cho thấy, bé mắc chứng bệnh Behcet, đây là bệnh tự miễn hiếm gặp gây ra nhiều biểu hiện trong đó có giãn động mạch phổi.
Trước tình trạng túi phình lớn có nguy cơ vỡ gây xuất huyết phổi khiến bệnh nhi tử vong bất kỳ lúc nào bệnh viện đã chỉ định thông tim can thiệp đóng túi phình cho bệnh nhi. Sau can thiệp (ngày 22/8) bé không còn ho ra máu, tình trạng sức khỏe nhanh chóng ổn định.
Behcet là bệnh lý tự miễn hiếm gặp gây viêm mạch máu hệ thống, dẫn đến tổn thương da, niêm mạc và các cơ quan nội tạng như đường tiêu hóa, phổi, cơ xương, thần kinh. Bệnh có thể gây tử vong do vỡ phình mạch máu, đặc biệt là động mạch phổi hoặc gây nên biến chứng thần kinh nghiêm trọng.