Sau khi chị N. (28 tuổi, ngụ An Giang) sinh bé trai được 2 tháng, người chồng phát hiện bị mắc lao phổi. Lúc anh đang điều trị lao phổi giai đoạn tấn công, con trai 2 tháng tuổi Võ Trọng Nh. có biểu hiện mệt, ho sốt liên tục 1 tuần nên được đưa tới bệnh viện địa phương kiểm tra.
Dù uống thuốc nhưng tình trạng bé Nh. không thuyên giảm, ngày càng khó thở, bác sĩ cho chuyển lên bệnh viện Nhi đồng thành phố (TP.HCM) thăm khám.
Qua các xét nghiệm, bác sĩ chẩn đoán bé bị lao kê nặng (một thể lao nặng). Nguyên nhân bé mắc bệnh được xác định bị lây bệnh lao phổi từ người bố.
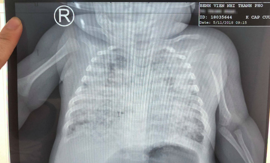
![]() |
| Phổi bệnh nhi trắng xóa quá phim chụp Xquang |
Theo BS, phổi của bé trai trắng xóa, kén khí do các ổ lao vỡ tấn công khiến bệnh nhi bị tràn phổi 4 lần, suy hô hấp nặng, phải thở máy liên tục.
Để giải quyết triệt để từng đợt nhiễm trùng phổi cho bé, bác sĩ tiến hành chọc hút khí màng phổi nhiều lần khi kén lao vỡ.
Có lúc, tình trạng bé nguy kịch, phải thở máy rung tần số cao để đảm bảo trao đổi khí, kết hợp điều trị kháng sinh và kháng lao tấn công suốt 3 tháng.
Qua 90 ngày điều trị tích cực, sức khỏe bé ổn định, phổi sáng dần lên. Mô phổi giảm tổn thương và thông khí ngày càng hiệu quả, các kén khí lớn giảm rõ rệt.
Các bác sĩ đánh giá nguy cơ tràn khí màng phổi và suy hô hấp có cải thiện, khả năng ít tái phát. Bé sau đó được chuyển viện đến bệnh viện Phạm Ngọc Thạch để điều trị tiếp tục phác đồ lao cách đây 2 tuần. Hiện bé đã được xuất viện.
![]() |
| Mẹ bé trai vui mừng khi con khỏi bệnh |
Đề phòng bệnh lao cho trẻ nhỏ
Bác sĩ cho biết, trẻ mắc lao bẩm sinh thường do người mẹ mắc bệnh khi đang mang thai hoặc có thể đã mắc trước đó nhưng không được phát hiện.
Một số ít trẻ sơ sinh nhiễm lao khi vừa lọt lòng do tiếp xúc trực tiếp với nguồn lây từ phòng sinh, người thân gia đình. Những trường hợp này vẫn được gọi là bệnh lao bẩm sinh.
Hệ miễn dịch ở trẻ sơ sinh vốn dĩ đã rất yếu nên khi biết mắc bệnh này, trẻ cần được điều trị ngay để tránh những biến chứng. Nếu phát hiện trễ, các bé có thể mắc các thể lao nặng như lao kê, lao màng não, dễ dẫn đến tử vong.
![]() |
| Đa số bệnh nhân lao sơ nhiễm có triệu chứng âm thầm như: sốt nhẹ về chiều, mệt mỏi, chán ăn, sút cân... |
Triệu chứng nghi ngờ nhiễm lao ở trẻ gia đình cần lưu ý:
– Trong 3 ngày đầu: trẻ có những biểu hiện sốt nhẹ 1-2 lần trong ngày, ăn ít hơn khẩu phần thường ngày một nửa.
– 1 tuần sau đó: các cơn ho dai dẳng xuất hiện, đôi khi có đờm màu vàng, trẻ vẫn sốt âm ỉ liên tục 38 độ C, sút cân nhanh từ 1-2kg.
– Trong 3 tuần: các cơn ho khan phát triển nặng kèm theo máu, sốt kéo dài thường xuất hiện vào sáng sớm hoặc chiều tối. Dùng kháng sinh thông thường không thể chữa khỏi, và trẻ có hiện tượng suy hô hấp, khó thở, sa sút cân nặng 3-5kg.
Nếu trẻ có những dấu hiệu này, ngay lập tức hãy đưa trẻ đến thăm khám tại bệnh viện. Sau khi chụp Xquang và các xét nghiệm để biết chính xác trẻ có bị mắc lao phổi hay không.
Để phòng bệnh cho trẻ, nếu trong nhà có người bị bệnh lao, cần phải cách ly trẻ với người bệnh, tốt nhất là không ở cùng nhà với người bệnh. Người mắc bệnh lao không ho, khạc đờm bừa bãi; tránh tiếp xúc, hôn trẻ nhỏ cho đến khi khỏi bệnh hoàn toàn.


